鸡病专业网论坛

 找回密码
 立即注册

QQ登录

只需一步,快速开始

查看: 2687|回复: 1
收起左侧

【分享】蛋鸡丹毒成“新兴问题”:从饲养模式变化到免疫机制与防控策略的最新综述

[复制链接]

鸡病专业网编辑

Rank: 46Rank: 46Rank: 46Rank: 46Rank: 46Rank: 46Rank: 46Rank: 46Rank: 46Rank: 46Rank: 46Rank: 46

发表于 2025-12-19 15:45:25 | 显示全部楼层 |阅读模式 来自: 中国河南

马上注册,结交更多好友,享用更多功能,让你轻松玩转社区。

您需要 登录 才可以下载或查看,没有账号?立即注册

x
在不少蛋鸡场里,“鸡群突然死亡、短时间内死淘明显上升”往往最让人紧张:到底是烈性传染病、应激叠加,还是某种被忽视的细菌性败血症?

近年来,一个过去常被认为更偏向火鸡的老问题——丹毒,在蛋鸡群里反而越来越频繁地被提及,尤其是在垫料饲养、放养/有机等系统中更容易出现暴发。

更麻烦的是,它来得急、进展快,现场仅凭肉眼并不总能一锤定音;而免疫层面也提示:仅把它理解成“抗体能不能起来”可能还不够。

这篇公众号文章基于一篇SCI综述,将蛋鸡丹毒的病原学背景、流行与传播风险、典型病理与诊断思路、免疫应答的新认识,以及管理—用药—疫苗的组合策略进行梳理。

qw2.jpg

一、背景与病原概述

丹毒
(erysipelas)是由猪丹毒杆菌引起的细菌性疾病

虽然该病在家禽中已被认识超过100年,但不少关键问题仍未完全阐明

过去很长时间里,家禽丹毒主要被认为与火鸡更相关,而鸡(尤其蛋鸡)报道较少

但随着蛋鸡饲养系统从传统单笼饲养向垫料饲养、并在部分体系中增加户外活动空间转变,欧洲等地区蛋鸡丹毒暴发数量增加,丹毒因此被视为蛋鸡中的新兴问题。

在病原学上,Erysipelothrix 属为 Erysipelotrichaceae 科的模式属;截至2024年9月,该属已有9个被接受的物种。

传统血清分型依赖专门试剂、分辨率有限且并非所有分离株可分型,因此分子与基因组方法逐步成为主流。

qw3.jpg
图1 Erysipelothrix 各模式株16S rRNA系统发育树

此外,本病原具人兽共患意义,人感染通常称为类丹毒 erysipeloid,多表现为局灶性皮肤感染,也可能出现更严重的系统性感染;需注意,人类临床中称为丹毒 erysipelas 的疾病通常为链球菌感染所致,与本菌不同

二、鸡丹毒为何在蛋鸡中更突出:流行与传播风险

综述指出,进入21世纪后,丹毒在多地成为蛋鸡群的新兴问题:其增加最早在欧洲蛋鸡饲养系统更替阶段被观察到,2012年欧盟传统单笼笼禁用后暴发进一步增多;澳大利亚/南太平洋及美国部分地区也有上升趋势

一个非常突出的特点是饲养系统相关风险差异:有户外活动空间(放养/有机)的鸡群风险最高,其次为室内垫料系统,而笼养风险最低;文献中传统单笼饲养仅见极少数暴发报道,且几乎未见福利笼暴发

另外,暴发多发生在越过产蛋高峰后的鸡群,育成鸡/青年鸡病例非常罕见。

关于感染来源与传播路径,论文强调目前仍存在明显空白。

早期曾认为该菌可作为土壤腐生菌长期存在,但实验研究显示其在土壤中的最长存活约72天;结合其基因组特征,更提示其长期维持可能依赖动物宿主储存库(如猪、野猪、牛等),并存在野生或家养哺乳动物向蛋鸡跨物种传播的风险

鸡自身是否为真正带菌者仍未明确,已有少量从健康鸡分离到该菌的报道,但也可能受环境污染影响;同时,健康鸡群中可见识别该菌的抗体,血清阳性率在不同研究中差异很大,提示蛋鸡可能存在频繁暴露或与抗原相近菌的交叉反应。

三、临床、病理与诊断要点

蛋鸡急性期死亡个体剖检时常仍保持较好体况。

典型肉眼病变包括:骨骼肌与内脏广泛充血、脂肪及心外膜/脏器出血点、明显肝脾肿大,以及少量到中等量澄清腹腔液(可混纤维素)。

产蛋鸡还常见卵泡急性退化导致游离卵黄进入体腔;肝脏易碎、边缘圆钝,呈深色/棕褐并散在苍白坏死灶;脾脏显著肿大、颜色加深且常呈斑驳。部分鸡群可见眼周肿胀或肿头表现,但总体发生率尚不清楚。

qw4.jpg
图2眼周肿胀/肿头

qw5.jpg
图3 卵泡急性退化与游离卵黄

qw6.jpg
图4 肝脏肿大、出血与坏死灶

qw7.jpg
图5 脾脏显著肿大变暗

组织学上,急性期常见肝脾广泛纤维素样坏死、血管损伤、出血水肿与脾淋巴细胞耗竭,炎症反应反而可能较轻;有时可见广泛血管内血栓形成,提示播散性血管内凝血可能参与发病过程。

诊断方面,论文基于瑞典暴发经验指出:新鲜尸体无菌采集的脾与肝组织通常足以在非选择性血琼脂上直接分离培养该菌;若尸体腐败,长骨骨髓可能更合适,因为细菌在其中存活更久。

由于该菌在血琼脂上菌落很小、污染样本不易识别,必要时可先在选择性肉汤增菌24–48小时再分离培养,并可利用其对叠氮化钠与结晶紫的耐受等特性,使用特定选择性增菌体系提升复杂样本检出率;MALDI-TOF MS已用于快速鉴定,但商业数据库对同属菌的区分能力仍不确定,PCR等分子方法可用于鸡样本检测。

四、免疫应答的新认识:为何值得重点关注

综述强调,猪丹毒丝菌感染存在细胞内阶段,感染后细菌常可位于细胞内,甚至可在巨噬细胞中存活与复制,因此讨论保护性免疫时不能忽视针对细胞内病原的效应机制。

先天免疫层面,实验感染与现场监测都显示:早期可出现明显的异嗜性粒细胞反应与急性期蛋白反应(如MBL),且与菌血症水平相关;同时,循环单核细胞表型会发生动态改变,MRC1L-Bhigh–MHCIIlow 表型在感染早期或高菌血症个体中更常见,而在部分情况下,MRC1L-Blow–MHCIIlow 可能与缓解/清除相关

qw8.jpg
图6 不同菌血症水平下单核细胞 MRC1L-B/MHCII 表达分布

特异性免疫层面,一个重要观察是:随着日龄增加,个体更容易出现ER特异性抗体阳性及滴度升高;但丹毒暴发常发生在较老的蛋鸡群,且在临床暴发期也可观察到较高的ER特异性IgY滴度,这提示仅有可检测到的抗体反应可能并不足以提供对系统性感染的充分保护。

论文据此提出,Th1型反应IFN-γ介导的吞噬杀伤增强可能在清除该菌中更关键;同时已有研究在鸡的实验感染后观察到ER特异性T细胞增殖反应(包括CD4+及部分CD8相关亚群),进一步支持应把细胞免疫机制作为疫苗与免疫评估的重要方向

五、防控策略与展望:管理、用药、疫苗如何组合

在暴发处置上,论文指出丹毒通常不会自行停止,应迅速行动

由于病死鸡可能含有大量病原,建议尽可能频繁清除死鸡(至少每日多次)以减少群内传播;该菌具人兽共患风险,处理活禽与尸体时应佩戴防护手套并强化生物安全,避免扩散到周边鸡群。

抗生素治疗方面,青霉素长期为首选,但近年已有欧洲家禽分离株出现青霉素耐药迹象的报道,提示需要更系统的耐药监测。

用药可降低死亡率,但停药后常复发,原因是鸡舍环境中仍可能存在病原,因此更推荐将抗生素与疫苗结合用于终止暴发;若可用β-内酰胺类受限(如鸡蛋休药期问题),单独接种也可能成为可行措施。

疫苗方面,目前并无注册用于鸡的丹毒疫苗,因此欧洲蛋鸡常借用火鸡或猪用的灭活疫苗;部分国家可能有火鸡用弱毒活疫苗可获得,但有效性资料仍有限;在缺乏合适商品苗或保护不足时,也可考虑自家苗。田间研究显示,蛋鸡在14–16周入舍时接种某些商业灭活苗可诱导更早出现的IgY应答。

总体而言,这篇综述的核心结论是:蛋鸡丹毒之所以成为新兴问题,与饲养系统变化密切相关;而在免疫学层面,细胞内感染特征提示仅用抗体滴度解释保护力可能不够,后续研究与疫苗优化应更聚焦Th1型反应与IFN-γ相关效应机制

以下是默克兽医手册官网的一些家禽丹毒诊断图片,以供大家参考

qw9.jpg
图7 商品化宽胸白火鸡种鸡感染猪丹毒。肝脾肿大,斑驳。来源Dr. Simone T. Stoute.

qw10.jpg
图8 商品化宽胸白火鸡种鸡感染猪丹毒。脾脏增大并变黑,体腔内有浆膜瘀点出血,如箭头所示。来源Dr. Simone T. Stoute.

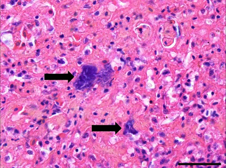
qw11.jpg
图9商品化宽胸白火鸡种鸡感染猪丹毒。细菌菌落(黑色箭头)嵌入脾白髓坏死区域。比例尺=100 mcm;原始放大倍数,100 倍。来源Dr. Simone T. Stoute.

来源:poultry times PT
回复

使用道具 举报

鸡网学院终级

为中国畜牧业添能加油!

Rank: 10Rank: 10Rank: 10

勤劳奉献奖优秀会员奖添砖加瓦奖社区居民社区明星忠实会员常驻居民奖新人进步奖热心助人勋章

来自
河南郑州
发表于 2025-12-20 08:27:35 | 显示全部楼层 来自: 中国河南郑州
这玩意在家禽上的发病率到底有多少?
也没啥特征性的病变,很难判定!
回复 支持 反对

使用道具 举报

您需要登录后才可以回帖 登录 | 立即注册

本版积分规则

手机版|Archiver|鸡病专业网 ( 豫ICP备11024133号-2 )

GMT+8, 2026-4-15 06:41 , Processed in 0.199601 second(s), 31 queries .

快速回复 返回顶部 返回列表