鸡病专业网论坛

 找回密码
 立即注册

QQ登录

只需一步,快速开始

查看: 1115|回复: 0
收起左侧

【分享】禽霍乱(家禽巴氏杆菌病)全面解析:从“草莓心”到“满天星”,一文读懂防控

[复制链接]

荣誉版主

奉献是美德。

Rank: 17Rank: 17Rank: 17Rank: 17Rank: 17

优秀会员奖添砖加瓦奖常驻居民奖社区居民社区明星忠实会员

来自
河南省郑州市
发表于 2026-4-23 15:00:00 | 显示全部楼层 |阅读模式 来自: 中国河南

马上注册,结交更多好友,享用更多功能,让你轻松玩转社区。

您需要 登录 才可以下载或查看,没有账号?立即注册

x
禽霍乱(家禽巴氏杆菌病)全面解析:从“草莓心”到“满天星”,一文读懂防控要点

家禽巴氏杆菌病(Fowl Cholera)是由多杀性巴氏杆菌引起的一种急性败血性接触性传染病,又名禽霍乱、禽出血性败血症。该病以发热、腹泻、呼吸困难和高死亡率为临床特征,发病率和死亡率均很高,对养禽业造成严重经济损失。本病呈世界性分布,我国以散发为主,在某些地区可呈地方流行。多杀性巴氏杆菌为条件致病菌,广泛存在于健康禽类的上呼吸道和消化道黏膜,当饲养管理不良、气候突变或运输等应激因素诱发下可突然发病。

一、病原学

1. 分类与形态结构


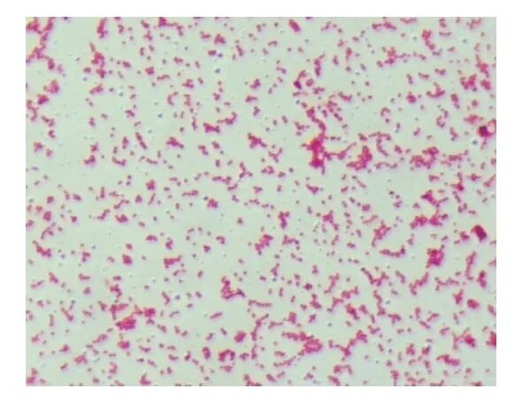
家禽巴氏杆菌病的病原为多杀性巴氏杆菌(Pasteurella multocida,Pm),隶属于巴氏杆菌科、巴氏杆菌属。该菌为革兰氏阴性短杆菌,菌体呈卵圆形或杆状,大小约为(0.3~0.5)μm ×(1.0~1.8)μm,常单个、成对或呈短链排列。多杀性巴氏杆菌具有荚膜,但无鞭毛和芽孢,不运动。

qw3.jpg

2. 培养特性与生化特征

多杀性巴氏杆菌为需氧或兼性厌氧菌,对营养要求较高,需在含血液或血清的培养基上才能良好生长。在血琼脂平板上,37℃培养18~24小时后,可形成直径约1~2 mm、光滑、湿润、边缘整齐、呈露滴状的小菌落,不溶血。菌落在45°透射光下观察,强毒株常呈现蓝绿色荧光(Fg型),而弱毒株则无此特征。该菌能分解葡萄糖、蔗糖等多种糖类,但一般不产气。

qw4.jpg

qw5.jpg

3. 血清学分型

根据荚膜抗原的差异,多杀性巴氏杆菌可分为A、B、D、E和F五种血清型。引起禽霍乱的主要为荚膜A型菌株(如8:A、9:A、5:A型),其中A型强毒株最为常见。对中国江苏省肉种鸡场的流行病学调查发现,分离到的13株禽多杀性巴氏杆菌荚膜分型均为A型,菌落荧光观察均属强毒株。此外,近年来在四川地区也发现A1型为当地流行的主要基因型。A型菌株对禽类的致病性最强,是家禽巴氏杆菌病的优势流行血清型。

4. 理化性质

多杀性巴氏杆菌对外界环境的抵抗力不强,对高温、干燥和紫外线敏感。在水中和土壤中可存活1~2周,在4℃条件下可存活约3周。日光照射10分钟或60℃水浴20分钟即可显著降低其感染力。该菌对常用的消毒剂(如含氯消毒剂、过氧乙酸、甲醛等)敏感,兽医临床常规消毒方法可有效将其杀灭。

二、流行病学

1. 宿主范围与易感性


多杀性巴氏杆菌宿主谱极广,几乎所有的哺乳动物和鸟类均可感染。在家禽中,鸡、鸭、鹅均易感,其中鸡和鸭最为常见。不同品种、不同年龄的家禽均可感染,但成年家禽和产蛋鸡群的易感性更高,4月龄以上的成年家禽发病率尤为突出。雏禽感染后病情更为严重。此外,鸽子、火鸡、鹌鹑等禽类以及多种野生鸟类也可感染发病。

2. 传染源与传播途径

病禽和带菌禽是该病的主要传染源。健康禽类的上呼吸道和消化道黏膜可携带该菌而不发病,成为隐性带菌者。病原通过病禽的分泌物、排泄物污染饲料、饮水、器具和环境,经消化道为主要感染途径,也可经呼吸道、黏膜及皮肤创伤感染。

值得注意的是,多杀性巴氏杆菌还存在垂直传播的可能。该菌可感染入孵种蛋和孵出的雏鸡,影响康复鸡群的生长性能和生产性能。此外,该病常与大肠杆菌等其他病原菌并发或继发感染,进一步加重病情和损失。

3. 流行特点

家禽巴氏杆菌病呈世界性分布,热带和亚热带地区尤为严重,疫情长年不断,难以根除。在我国,该病以散发为主,但在某些地区和养殖密集区偶尔出现地方流行性甚至暴发性发生。

该病的发生具有明显的应激相关性。多杀性巴氏杆菌是一种条件致病菌,广泛存在于健康禽类体内,当饲养管理突变、气候变化、长途运输、转群、热应激等应激因素出现时,禽群抵抗力下降,病原菌大量增殖,即可诱发疾病暴发。夏季高温高湿季节发病率较高。散养鸡因长期与野生动物接触、水源污染风险大及生物安全管理薄弱,感染风险远高于集约化养殖场。

4. 在我国的流行情况

禽多杀性巴氏杆菌病是我国目前家禽和水禽中常发的细菌病之一,对蛋鸡和种鸡的产蛋率和生产性能造成显著影响。2016年对全国21个省份的血清学调查显示,CAstV抗体阳性率达60.68%,但关于巴氏杆菌病的全国性系统调查数据仍较为有限。区域性调查结果表明,我国多个地区的肉种鸡场和蛋鸡场均存在荚膜A型强毒株的流行,确诊种鸡场阳性率显著高于未确诊种鸡场。江苏及其周边地区暴发禽霍乱病例中分离的12株细菌皆为荚膜血清型A型,序列型为ST-129。

三、致病机制与临床症状

1. 致病因子


多杀性巴氏杆菌的毒力因子主要包括荚膜、脂多糖、外膜蛋白、黏附素、毒素等。荚膜是该菌最重要的毒力因子,具有抗吞噬作用,帮助细菌逃避宿主免疫系统的清除。外膜脂蛋白PlpE在细菌黏附宿主组织过程中发挥重要作用,且在A型菌株中保守性超过90%。这些毒力因子协同作用,使细菌能够定植于宿主组织、抵抗吞噬、引发炎症反应并导致全身性病变。

2. 临床症状

家禽巴氏杆菌病的潜伏期一般为1~2天,根据病程可分为最急性型、急性型和慢性型三种类型。

最急性型:多见于肥胖禽只,常无任何前驱症状,突然倒地、拍翅、抽搐,迅速死亡,有时在夜间死亡,病程仅数小时至2~3天。

急性型:最为常见。病禽精神沉郁,羽毛蓬乱,双翅下垂,食欲废绝,但频频饮水。体温升高至42.5~44℃。呼吸困难,咳嗽气喘,从口鼻流出淡黄色泡沫样黏液。剧烈腹泻,排出灰白色、灰黄色或黄绿色的稀便,有的粪便中带血,腥臭难闻-。冠髯发紫,产蛋停止。后期瘫痪,常在1~3天内死亡。

慢性型:多见于急性期耐过或毒力较弱的感染。主要表现为鸡冠和肉髯水肿、肉髯苍白、关节肿胀、跛行,鼻窦肿胀、流鼻涕,病程可达数周,逐渐消瘦死亡。

3. 病理变化

急性型剖检
:最典型的病变是肝脏肿大、质脆,表面布满针尖大小的灰白色坏死灶,呈“满天星”状。心脏病变也十分显著,心外膜和心冠脂肪有密集的出血点,呈“草莓心”样外观。十二指肠呈卡他性出血性炎症,肠腔内含有血样或黏液性分泌物。此外,皮下组织、腹膜等可见不同程度的出血。

组织病理学:肝细胞肿胀、破裂、空泡化,出现颗粒变性和脂肪变性,肝细胞间质有白细胞浸润。肾脏充血、出血,肺脏充血、水肿。

四、诊断方法

1. 临床诊断与剖检


根据发病急、死亡率高、冠髯发紫、腹泻等临床症状,结合肝脏“满天星”样坏死灶和心冠脂肪出血等特征性剖检病变,可做出初步诊断。

qw6.jpg

2. 病原分离鉴定

取病死禽的肝脏、心脏血液等病料,接种于血琼脂平板,37℃培养18~24小时后,观察菌落形态并进行革兰染色镜检。进一步进行生化鉴定和荚膜血清分型。

3. 分子生物学诊断

PCR技术是目前诊断多杀性巴氏杆菌最敏感、特异的方法之一。已建立的方法可从禽多杀性巴氏杆菌扩增出约460 bp的特异片段,最低可检测出1 ng/L的细菌DNA。荚膜多重PCR方法可进一步鉴定荚膜血清型(A、B、D、E、F型)。近年来还建立了多重PCR方法,可同时鉴别禽多杀性巴氏杆菌、副鸡嗜血杆菌和大肠杆菌。此外,RPA-LFD等快速检测方法也已成功建立,具有特异性强、检测速度快等特点。

qw7.jpg

4. 血清学检测

间接ELISA方法可用于血清抗体检测,适用于流行病学调查和疫苗免疫效果评价。胶体金试纸条等快速检测产品也已在临床上应用。

5. 鉴别诊断

需与新城疫、鸭瘟、大肠杆菌病、沙门氏菌病等急性败血性传染病进行鉴别。细菌分离培养和PCR检测是鉴别诊断的关键手段。

五、防控策略

1. 药物治疗


抗生素治疗是发病时的首要控制措施。药敏试验结果显示,多杀性巴氏杆菌对恩诺、多西高度敏感,可作为首选药物。卡那霉素、红霉素等药物也有良好的抑制作用。但需注意,临床分离株对氨基糖苷类药物和氯霉素类药物具有一定的耐药性。体外诱导研究表明,逐步递增药物浓度可使Pm对链霉素产生耐药性,耐药株MIC值可从8 μg/mL上升至1024 μg/mL,其耐药机制涉及磷酸转移酶修饰作用、核糖体靶位点突变及外排泵过表达。因此,用药前应进行药敏试验,避免盲目用药和滥用抗生素,以延缓耐药性的产生。鸡唾液乳酸杆菌等益生菌可作为抗生素的辅助或部分替代方案。

2. 疫苗免疫

目前已有商品化的禽霍乱疫苗,包括弱毒活疫苗和灭活疫苗,但效果均不甚理想。弱毒活疫苗虽能提供一定的交叉保护,但存在毒力返强的风险;灭活疫苗安全性较高,但交叉保护效果有限。

近年来新型疫苗研发取得重要进展

亚单位疫苗:基于外膜脂蛋白PlpE优势抗原表位的多表位蛋白疫苗,免疫后鸡存活率可达80%,且病理损伤轻、抗体水平高。

荚膜疫苗:福建省农科院研制的“禽多杀性巴氏杆菌病荚膜疫苗”是一种以物理化学方法提取荚膜、辅以新型佐剂的疫苗,兼具良好的安全性和免疫效果,已获农业农村部临床试验批件。

新型佐剂疫苗:Gel 01水凝胶佐剂灭活疫苗保护率达80%,显著优于氢氧化铝佐剂疫苗(70%)和商品弱毒疫苗(50%),通过增强抗体应答与减轻病理损伤展现出优异的免疫增强潜力。

3. 生物安全与饲养管理

严格实施全进全出制度,对鸡舍、器具、环境进行定期消毒。保持禽舍通风良好,控制饲养密度,避免应激因素(如温度骤变、运输、转群等)。提供营养均衡的全价饲料,避免使用霉变饲料,确保饮水清洁。

4. 综合防控建议

鉴于多杀性巴氏杆菌在健康禽群中普遍带菌的特点,单纯的药物预防难以根除该病。建议采取“药物控制+疫苗免疫+生物安全”的综合防控策略:在发病高峰期前进行药物预防性投药,配合新型疫苗免疫提高群体特异性免疫力,同时加强饲养管理和环境消毒,降低应激因素诱发疾病的风险。

来源:大橘为重的医
回复

使用道具 举报

您需要登录后才可以回帖 登录 | 立即注册

本版积分规则

手机版|Archiver|鸡病专业网 ( 豫ICP备11024133号-2 )

GMT+8, 2026-5-13 22:07 , Processed in 0.111476 second(s), 29 queries .

快速回复 返回顶部 返回列表