鸡病专业网论坛

 找回密码
 立即注册

QQ登录

只需一步,快速开始

查看: 1394|回复: 0
收起左侧

[分享] 山东农业大学赵鹏教授实验室联合信得科技团队在《中国家禽》发表:鸡传染性法氏囊...

[复制链接]

荣誉版主

奉献是美德。

Rank: 17Rank: 17Rank: 17Rank: 17Rank: 17

优秀会员奖添砖加瓦奖常驻居民奖社区居民社区明星忠实会员

来自
河南省郑州市
发表于 2026-4-20 15:40:20 | 显示全部楼层 |阅读模式 来自: 中国河南

马上注册,结交更多好友,享用更多功能,让你轻松玩转社区。

您需要 登录 才可以下载或查看,没有账号?立即注册

x
4月8日,山东农业大学赵鹏教授实验室联合信得科技团队在中国核心期刊《中国家禽》刊登了题为“鸡传染性法氏囊病病毒感染高峰期使用转移因子显著抑制其感染危害的研究”报告。研究表明:在鸡群11-13日龄使用信得转移因子即便14日龄感染变异株法氏囊(大数据表明14日龄是感染高峰期)能大大缓解因感染法氏囊导致的体重减轻问题,并能明显降低各个脏器的病毒载量,提升免疫器官发育指数,为临床防控法氏囊难题提供了科学的方案和事实依据。

以下为报告全文:

鸡传染性法氏囊病病毒感染高峰期使用转移因子显著抑制其感染危害的研究

朱孔达1,孙一庚2,杨天耀2,宋庆庆2,崔文平1,任志浩1,王一新1,常 爽1* , 赵   鹏1*

(1.山东农业大学动物医学院,山东泰安 271018;2.山东信得科技股份有限公司,山东潍坊 262200)

摘 要:为探究鸡传染性法氏囊病病毒(IBDV)新型变异株(nVarIBDV)在12~14 日龄母源抗体急剧下降期间感染率升高的问题,试验评估了转移因子(TF)作为辅助措施对感染雏鸡的防护效果。试验选用携带高效价IBDV母源抗体的雏鸡,动态监测抗体滴度,于11日龄(抗体效价普遍<2000)将鸡随机分为高剂量TF组(0.5 mL/d)、低剂量TF组(0.25 mL/d)、阳性对照组(感染不用TF)及阴性对照组,自11日龄起连续3d经口给予TF,14日龄以nVarIBDV(IBDV-SD-1208)攻毒。感染后定期测定体重、免疫器官指数,观察组织病理变化,并采用实时荧光定量PCR检测法氏囊、肝脏、脾脏及胸腺中病毒复制动态。结果显示:与阳性对照组相比,TF处理组显著缓解了nVarIBDV感染导致的体重下降、法氏囊与胸腺萎缩以及肝脏、脾脏肿大(P<0.05),其中高剂量TF组法氏囊淋巴滤泡结构完整,淋巴细胞流失轻微;TF显著抑制nVarIBDV在各免疫器官中的复制,病毒载量随TF剂量增加而降低(P<0.05或P<0.0001)。研究表明,在IBDV母源抗体即将消失的关键时期,使用TF可通过抑制病毒复制、减轻器官病理损伤,有效缓解nVarIBDV感染对雏鸡的危害,其抑制病毒复制的作用与使用剂量呈正相关,研究结果为鸡传染性法氏囊病临床防控提供了可行的辅助策略。

关键词:鸡传染性法氏囊病病毒;母源抗体;转移因子;抑制

中图分类号:S855.3   文献标识码:A

Transfer Factor Significantly Inhibited the Injury Caused by Infectious BursalDisease Virus at the Peak of Infection
ZHU Kongda1, SUN Yigeng2, YANG Tianyao2, SONG Qingqing2, CUI Wenping1, REN Zhihao1,WANG Yixin1, CHANG Shuang1*, ZHAO Peng1*
(1.College of Animal Medicine, Shandong Agricultural University, Tai′an, Shandong 271018;2.Shandong Sinder Technology Co., Ltd., Weifang, Shandong 262200)
Abstract: To investigate the increased infection rate of novel variant infectious bursal disease virus (nVarIBDV) during the rapid decline period of maternal antibody at 12-14 days of age, the protective efficacy of transfer factor (TF) as an adjunct mea?sure against infected chicks was evaluated. Chicks with high titers of maternal antibodies against IBDV were selected. Antibody ti?ters were dynamically monitored. Chicks at 11 days of age with antibody titers below 2000 were randomly divided into to a high-dose TF group (0.5 mL/d), a low-dose TF group (0.25 mL/d), a positive control group (challenged without TF) and a negative con?trol group. TF was administered orally for 3 consecutive days starting at 11 days of age. At 14 days of age, chickens were chal?lenged with nVarIBDV (IBDV-SD-1208). Body weight and immune organ indices were measured periodically after infection, his?topathological changes were observed, and viral replication dynamics in the bursa of Fabricius, liver, spleen and thymus were de?tected using real-time quantitative PCR. The results showed that compared to the positive control group, TF-treated groups signif?icantly alleviated nVarIBDV-induced body weight loss, bursal-thymic atrophy, enlargement of spleen and liver (P<0.05), the structure of bursal lymphoid follicles was intact, with only mild lymphocyte depletion in the high-dose TF group. Concurrently, TF significantly suppressed nVarIBDV replication across immune organs with viral load decreasing as TF dosage increased (P<0.05 or P<0.000 1). The results indicated that during the critical period when maternal antibodies against IBDV were about to disap?pear, TF could effectively alleviate the harm caused by nVarIBDV infection in chicks by suppressing viral replication and reduc?ing organ pathological damage, its inhibitory effect on viral replication was positive correlated with dosage used, the finding pro?vided a feasible auxiliary strategy for clinical prevention and control of infectious bursal disease in chickens.
Key words:infectious bursal disease virus; maternal antibodies; transfer factor; suppress

鸡传染性法氏囊病(Infectious bursal disease,IBD)是由鸡传染性法氏囊病病毒(Infectious bursal disease virus,IBDV)感染引起的一种鸡的急性、高度接触传染性和免疫抑制性疾病[1-2],一旦暴发,便会迅速在鸡群中传播,严重影响家禽健康和养殖效益[3]。

IBDV分为两种血清型,但只有血清Ⅰ型对鸡具有致病性,其毒株可分为经典毒株(cIBDV)、强毒株(vIBDV)或超强毒株(vvIBDV)和变异株(varIBDV)[4]。自 20世纪90年代,IBDV变异株在漫长的时间里处于潜伏循环状态,其间不断经历突变并逐渐积累[5-6]。近年来IBDV新型变异株(nVarIBDV)在包括中国在内的东亚地区重新广泛流行。nVarIBDV有别于直接致死的毒株类型,它虽不会直接导致鸡死亡,但会造成严重的免疫抑制[7-8]。鸡感染后,免疫系统遭受重创,机体抵抗力急剧下降,极易继发感染其他病原体[9]。历史数据及近几年的监测结果均表明,12~14日龄是很多鸡群检出 IBDV的首个高发日期,虽然高水平IBDV母源抗体是防控IBD的关键,但上述高IBDV阳性率的检出日龄也是IBDV母源抗体迅速消退甚至行将消失的关键时期。因此,很多家禽生产企业试图通过其他措施强化对nVarIBDV的防控效果。

转移因子(Transfer factor,TF)是一种从淋巴细胞中提取出的低分子量物质[10],可将免疫敏感信息传递给T淋巴细胞,以增强机体的免疫功能。目前,TF已广泛应用于家禽免疫抑制病、过敏症以及自身免疫疾病的治疗[11]。不仅如此,TF还常被用作免疫增强剂添加到疫苗中,可显著提高疫苗的免疫效果,增强家禽对各类疾病的抵抗力。大量实践和研究充分证实,TF对鸡传染性贫血[12]、新城疫[13]以及禽流感[14]等多种常见且危害严重的禽病均能发挥良好的防治作用,达到有效降低禽病发生率和死亡率的效果[15]。本试验聚焦近年来IBDV流行抬头趋势和现有疫苗免疫保护不足的情况,探索在nVarIBDV首个高检出日龄时应用TF协助低水平母源抗体鸡群增强其对IBDV感染的防御能力,为提升IBD的防控效果提供参考。

1  材料与方法

1.1   病毒与试剂

nVarIBDV野毒株IBDV-SD-1208株(EID50=105.17/0.2 mL)是最近在中国出现的基因型A2dB1的IBDV新变异株[16],由山东农业大学动物医学院魏凯副教授提供。商品化TF口服液由山东信得科技股份有限公司生产和提供,每毫升口服溶液多肽含量≥1 mg,含核苷酸以D-核糖计≥30 μg;IBDV抗体ELISA试剂盒购自BioChek公司;病毒RNA提取试剂盒购自OMEGA公司。

1.2   IBDV母源抗体阳性雏鸡

本实验室以灭活的IBDV-SD-1208株病毒液为基础,制备成IBD油乳剂灭活疫苗,用于免疫开产前母鸡,人工受精后收集携带IBDV母源抗体的鸡胚,孵化后每只鸡均采血采用IBDV抗体ELISA试剂盒检测IBDV母源抗体水平。集中饲养携带IBDV母源抗体的1日龄雏鸡,并于3、7、11日龄监测鸡群IBDV母源抗体变化。

1.3   nVarIBDV人工感染试验

当鸡群IBDV母源抗体滴度降至约2000 时,随机将该鸡群分为4组,每组24只,分别为高剂量TF组、低剂量TF组、阳性对照组以及阴性对照组。分群后按照商品化TF口服液使用说明书连续3d对高剂量TF组和低剂量TF组分别服用0.5 mL/d和0.25 mL/d的转移因子。分群后第4天对高剂量TF组、低剂量TF组和阳性对照组口鼻接种0.2 mL IBDV-SD-1208病毒液,阴性对照组口鼻接种等体积生理盐水。在IBDV-SD-1208株感染后3、7、11、14d分别对各组鸡称重。在感染后3、7、11、14d分别从每组随机选取6只鸡称重、剖检,对免疫器官进行称重,计算囊重指数(Bursa-body index,BBIX)和免疫器官发育指数,其中BBIX=试验组鸡囊体比/空白对照组鸡的平均囊体比,当BBIX<0.7时,法氏囊被判定为萎缩[17];免疫器官发育指数=免疫器官重量/雏鸡体重。

1.4   TF协同IBDV母源抗体对雏鸡体内IBDV复制的影响

根据GenBank中IBDV VP2基因(GenBank 登录号:MN218099)的保守基因区域利用Pimer 5.0软件设计特异性引物,由北京擎科生物技术有限公司合成,引物序列信息见表1。在IBDV-SD-1208株感染后3、7、11、14d,分别从每组随机选取6只鸡剖检,取法氏囊,并按照病毒RNA提取试剂盒说明书提取法氏囊中的病毒RNA,参考文献方法[18]建立实时荧光定量PCR检测法氏囊中的IBDV复制情况。PCR反应体系为:10 μL SYBR Green Pro Taq、0.4 μL IBDV-F、0.4 μL IBDV-R、2 μL Template cDNA 以及 7.2 μL ddH2O;PCR 反应程序为:95 ℃预变性30s;95 ℃ 10s,60 ℃ 30s,共40个循环。熔解曲线使用荧光定量PCR仪(Archimed X4 型,北京鲲鹏基因科学仪器有限公司)默认采集程序,标准曲线公式为 y=-0.313 3x+10.921(R2=0.9942)。

表1 检测IBDV VP2基因的引物序列信息

qw1.jpg

1.5   TF协同IBDV母源抗体对雏鸡法氏囊组织的影响

在IBDV-SD-1208株感染后3d,分别从每组随机选取6只雏鸡剖检取其法氏囊,将切面整齐的法氏囊置于4%多聚甲醛中固定24~48h后修块,放于包埋盒内过夜冲水,次日脱水8~10h,包埋后将其置于-20 ℃冻存不少于3h,使石蜡定型,随后切片、HE染色,染色完成后将切片置入37 ℃烘干过夜,采用荧光显微镜(ZERO型,上海格彤科技有限公司)观察法氏囊组织的病理变化。

1.6   统计与分析

使用Graphpad prism 5软件中的T-tests、One-way ANOVA和Two-way ANOVA对试验数据进行统计分析,结果以“平均值±标准差”,P<0.05判定为显著差异,P<0.01判定为差异极显著,P<0.001或P<0.0001判定为差异极其显著。

2  结果与分析

2.1   雏鸡IBDV母源抗体动态变化

结果显示,雏鸡11日龄时IBDV母源抗体滴度降至2000左右(见图1),达到分组条件。

qw2.jpg

图1 3~11日龄雏鸡IBDV母源抗体水平

2.2   TF对nVarIBDV感染SPF鸡体重的影响

结果见图2。结果显示,感染后3d、7d,TF组体重与对照组差异不显著(P>0.05);感染后11d,高剂量TF组体重显著高于阳性对照组(P<0.05),后者极显著低于阴性对照组(P<0.01);感染后14d,低剂量TF组体重极显著高于阳性对照组(P<0.01),极显著低于阴性对照组(P<0.01),高剂量TF组体重极其显著高于阳性对照组(P<0.000 1)。上述结果表明,在IBDV母源抗体处于低水平时不足以缓解IBDV感染对雏鸡体重增长的抑制作用,使用TF可更好地缓解IBDV感染对雏鸡体重增长的抑制作用。

qw3.jpg

注:未标注表示差异不显著(P>0.05),*表示差异显著(P<0.05),**表示差异极显著(P<0.01),***或****表示差异极其显著(P<0.001或P<0.000 1),下同。
图2 TF对nVarIBDV感染SPF鸡体重的影响

2.3   TF对nVarIBDV感染SPF鸡法氏囊的影响

TF对nVarIBDV感染SPF鸡法氏囊发育指数的影响见图3。结果显示,感染后3d,高剂量TF组法氏囊发育指数显著高于阳性对照组(P<0.05),显著低于空白对照组(P<0.05);感染后7d、14d,TF组法氏囊发育指数均显著或极显著高于阳性对照组(P<0.05或P<0.01)。表明TF的使用可缓解nVarIBDV引起的鸡法氏囊萎缩。

qw4.jpg
图3 TF对nVarIBDV感染SPF鸡法氏囊发育指数的影响

TF对nVarIBDV感染SPF鸡法氏囊囊重指数的影响见图4。结果显示,TF组在感染后11d、14d其BBIX高于0.7,且接近感染后3d的水平,阳性对照组在感染后7d、11d、14d 其BBIX始终低于0.7,法氏囊处于萎缩状态。

qw5.jpg

A. 高剂量TF组

qw6.jpg

B. 低剂量TF组

qw7.jpg

C. 阳性对照组
图4 TF对nVarIBDV感染SPF鸡法氏囊囊重指数的影响

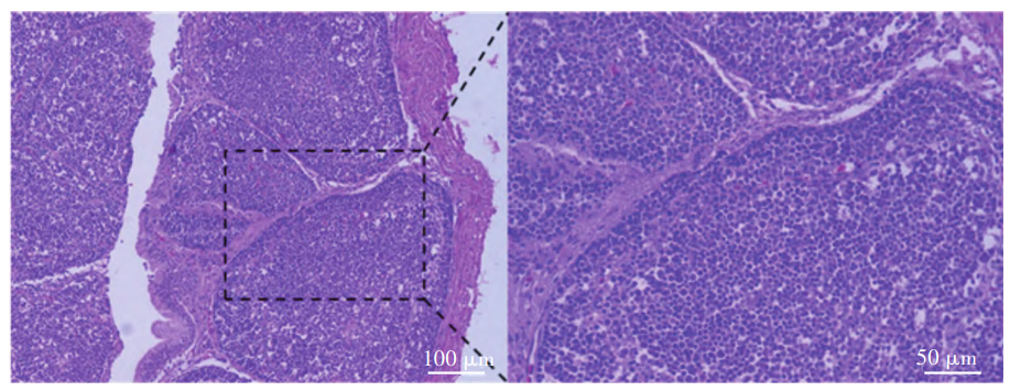
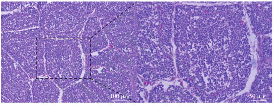
法氏囊组织病理学观察显示,阴性对照组法氏囊内淋巴滤泡结构完整,淋巴滤泡皮质和髓质内的淋巴细胞充盈,且分布均匀,呈现正常的组织形态(见图 5A)。阳性对照组可见法氏囊内多处淤血,存在炎症反应;淋巴滤泡结构模糊,淋巴滤泡间界限不清晰;皮质和髓质内的淋巴细胞大量流失,可见残留的网状细胞骨架,形成大量空泡(见图5B)。低剂量TF组可见法氏囊内淋巴滤泡结构模糊,相邻淋巴滤泡界限不清晰;淋巴滤泡皮质和髓质几乎无法分辨,皮质和髓质内的淋巴细胞均流失,且分布不均匀(见图5C)。高剂量TF组可见法氏囊内淋巴滤泡结构完整,淋巴滤泡皮质与髓质界限分明;髓质内的淋巴细胞仅有少量流失(见图5D)。上述结果证实,使用TF对nVarIBDV诱导的鸡法氏囊损伤产生较好的缓解作用。

qw8.jpg

A. 阴性对照组

qw9.jpg

B. 阳性对照组

qw10.jpg

C. 低剂量TF组

qw11.jpg
D. 高剂量TF组
图5 TF对nVarIBDV感染后3 d的SPF鸡法氏囊组织损伤的影响(200×,局部放大400×)

2.4   TF对nVarIBDV感染SPF鸡肝脏、脾脏和胸腺的影响

由图6可知,在感染后3d,高剂量TF组肝脏发育指数极其显著低于阳性对照组(P<0.0001),低剂量TF组极显著高于阴性对照组(P<0.01);在感染后7、11、14d,各组之间无显著差异(P>0.05)。表明在IBDV感染早期使用TF可缓解IBDV感染引起的肝脏肿大。

qw12.jpg
图6 TF对nVarIBDV感染SPF鸡肝脏发育指数的影响

由图7可知,在感染后3d,高剂量TF组脾脏发育指数极显著低于阳性对照组(P<0.01);在感染后7d、11d、14d,TF组脾脏发育指数与阳性对照组间无显著差异(P>0.05)。表明在IBDV感染早期使用TF可缓解IBDV感染引起的脾脏肿大。

qw13.jpg
图7 TF对nVarIBDV感染SPF鸡脾脏发育指数的影响

由图8可知,在感染后3d,高剂量TF组胸腺发育指数极显著高于阳性对照组(P<0.01),低剂量TF组胸腺发育指数显著低于阴性对照组(P<0.05);其他时间TF组与阳性对照组组间无显著差异(P>0.05)。表明在 IBDV感染早期使用TF可缓解IBDV感染引起的胸腺萎缩。

qw14.jpg
图8 TF对nVarIBDV感染SPF鸡胸腺发育指数的影响

2.5TF对nVarIBDV感染SPF鸡体内病毒载量的影响

TF对nVarIBDV感染SPF鸡体内病毒载量的影响见图9。结果显示,法氏囊病毒载量方面,在感染后3d,高剂量TF组法氏囊病毒载量显著低于低剂量TF组(P<0.05);在感染后7d,高剂量TF组法氏囊病毒载量显著低于阳性对照组(P<0.05);在感染后3d、14d,高剂量TF组法氏囊病毒载量极显著低于阳性对照组(P<0.01)。在肝脏病毒载量方面,在感染后 3d、7d,高剂量TF组仅在肝脏中检测到IBDV的低复制水平,且极其显著或极显著低于低剂量TF组和阳性对照组(P<0.0001或P<0.01)。在脾脏病毒载量方面,在感染后3d、7d,TF组均极其显著低于阳性对照组(P<0.0001),高剂量TF 组极其显著或显著低于低剂量TF组(P<0.0001 或P<0.05)。在胸腺病毒载量方面,感染后3d、7d,TF组胸腺病毒载量均处于较低水平且逐渐降低,且极其显著低于阳性对照组(P<0.001 或 P<0.0001)。表明使用TF可以很好地抑制IBDV在鸡法氏囊、肝脏、脾脏及胸腺中的复制,且抑制作用与TF使用剂量呈正相关。

qw15.jpg

A. 法氏囊

qw16.jpg

B. 肝脏

qw17.jpg

C. 脾脏

qw18.jpg
D. 胸腺
图9 TF对nVarIBDV感染SPF鸡体内病毒载量的影响

3  讨 论

IBD是由IBDV引起的高度接触性免疫抑制性疾病,疫苗免疫尤其是母源抗体是防控关键[19]。然而母源抗体在雏鸡出壳后1~3周内持续衰减,常在12~14日龄降至非保护水平,导致免疫空白期出现,此时鸡群易受感染,尤其是新型变异株(nVarIBDV)会加剧免疫抑制与继发感染风险[20]。因此,许多家禽养殖从业者通过抗体或非特异性免疫增强物质来强化防控,以弥补免疫空白期的保护不足。

TF作为一种小分子物质,具有强大的免疫活性,在家禽疾病防治领域备受关注[21],目前广泛应用于家禽免疫抑制病、过敏症以及自身免疫疾病的治疗[22]。TF还常被用作免疫增强剂显著提高疫苗的免疫效果,增强家禽对各类疾病的抵抗力[23]。本课题组先前的研究证实单独使用TF即可很好地抑制鸡传染性贫血病毒等免疫抑制病毒的复制并缓解病毒感染诱导的危害[24-25],进一步推测在IBDV感染的高风险时期使用TF可能对防控IBDV感染发挥重要作用。为此,本试验选择携带IBDV母源抗体的雏鸡进行持续抗体监测,在雏鸡的IBDV母源抗体到达2000及以下(生产中高感染期)进行攻毒试验,研究TF协助低水平母源抗体鸡群增强对IBDV感染的防御作用。

本试验结果显示,即使在12日龄时还有一定水平的IBDV母源抗体情况下,nVarIBDV感染仍然会引发鸡体重增长明显迟缓,特别是诱导极为显著的法氏囊和胸腺萎缩,以及肝脏和脾脏肿大,表明nVarIBDV感染的危害确实值得高度关注。而使用TF的nVarIBDV感染组,不管是体重的增长还是病毒对器官的损伤,均很好地获得缓解,特别是使用高剂量TF后,nVarIBDV感染引起的体重增长迟缓、法氏囊和胸腺萎缩、肝脏和脾脏肿大等相对于空白对照组均无显著差异。尤其值得关注的是,对于nVarIBDV感染引起的法氏囊微观损伤,通过病理切片可以明显观察到,阳性对照组法氏囊皮质和髓质内的淋巴细胞大量流失,而高剂量TF组几乎看不到显著损伤。这些效果可能与使用TF显著抑制nVarIBDV在鸡体内的复制有关,应用实时荧光定量PCR检测多个器官中nVarIBDV复制水平均很好地印证了这一点。上述结果均证实TF在抑制nVarIBDV感染中的价值,而这种作用呈现出剂量相关性,这进一步解释了TF使用次数和剂量产生效果的差异性。对于鸡体内存在一定水平的IBDV母源抗体却未能完全抑制IBDV复制的雏鸡而言,TF或将成为打破病毒与特异性免疫僵持态势的关键突破口,从而帮助鸡在IBDV母源抗体水平不高、不整齐或免疫空白期阶段形成有效的防御屏障。

目前,TF在动物养殖及兽医临床领域的应用场景正日趋丰富与多元。在畜禽养殖方面,TF可辅助防控禽网状内皮组织增生症[25]、新城疫[26]、猪蓝耳病[27]等病毒性传染病,降低畜禽发病率与死亡率,同时缓解抗生素滥用导致的免疫抑制问题。推测未来TF的应用潜力可能体现以下三方面:一是特异性TF的研发,针对重大动物疫病的抗原特异性TF可实现精准免疫防控,减少疫苗用量;二是复方制剂开发,与益生菌、中药提取物等联用构建协同免疫体系,适配绿色养殖发展需求;三是宠物医疗领域的拓展,用于宠物犬猫的病毒性皮肤病、反复呼吸道感染等病症的辅助治疗,填补宠物免疫调节药物的市场缺口,为动物疫病绿色防控和养殖业高质量发展提供新路径。

4  结 论

本研究以相对接近生产实际的雏鸡证实了使用转移因子很好地缓解了nVarIBDV感染引起的体重发育迟缓、法氏囊和胸腺萎缩、肝脏和脾脏肿大等危害,这种作用与TF的使用剂量呈正相关,为生产中IBDV检出高峰期提供了一种新的辅助抑制措施。

参考文献
[1] RAUTENSCHLEIN S,SCHAT K A,SAIF Y M. The history ofinfectious bursal disease:the second period between 1977 and 2005[J]. Avian diseases,2025,69(2):134-145.
[2] JACKWOOD D J. Advances in vaccine research against eco?nomically important viral diseases of food animals:infectious bursal disease virus[J]. Veterinary microbiology,2017,206:121-125.
[3] 祁小乐,高立,王笑梅 . 传染性法氏囊病病毒的自然重组 [J]. 微生物学报,2016,56(5):740-746.
[4] M?LLER H,ISLAM M R,RAUE R. Research on infectious bursal disease--the past,the present and the future[J]. Veteri?nary microbiology,2003,97(1-2):153-165.
[5] FAN L,WU T,WANG Y,et al. Novel variants of infectious bursal disease virus can severely damage the bursa of Fabri?cius of immunized chickens[J]. Veterinary microbiology,2020,240:108507.
[6] 张文英,于航博,姜楠,等 . 我国部分地区 A2dB1 型传染性法氏囊病病毒新型变异株的鉴定及序列分析[J]. 中国家禽,2024,46(9):194-200.
[7] FAN L,WANG Y,JIANG N,et al. Novel variant infectious bursal disease virus suppresses Newcastle disease vaccination in broiler and layer chickens[J]. Poultry science,2020,99(12):6542-6548.
[8] FAN L,WU T,HUSSAIN A,et al. Novel variant strains of in?fectious bursal disease virus isolated in China[J]. Veterinary microbiology,2019,230:212-220.
[9] WANG Y L,FAN L J,JIANG N,et al. An improved scheme for infectious bursal disease virus genotype classification based on both genome-segments A and B[J]. Journal of integrative agri?culture,2021,20(5):1372-1381.
[10] 武志伟,杨雨,胡玥,等 . 不同动物种类转移因子对家禽免疫效果影响的对比性研究[J]. 黑龙江畜牧兽医,2020(9):83-84,88.
[11]ASCHER M S,SCHNEIDER W J,VALENTINE F T,et al. In vitro properties of leukocyte dialysates containing transfer fac?tor[J]. Proceedings of the national academy of sciences of the United States of America,1974,71(4):1178-1182.
[12] 苗雨潼,孙一庚,王一新,等 . 应用转移因子降低鸡传染性贫血病毒感染对SPF鸡的致病性研究[J]. 中国家禽,2025,47(4):48-54.
[13] 徐磊,杨慧,刘毅发,等 . 猪脾转移因子对 La Sota 株鸡新城疫弱毒疫苗的免疫增强作用[J]. 微生物学报,2022,62(2):727-741.
[14] 李晓梅 . 转移因子研究现状[J]. 家禽科学,2018,40(8):57-59.
[15] 方姗,杨慧杰,范欣研,等. 转移因子对白羽肉鸡生长性能和血清抗体影响的研究[J]. 养禽与禽病防治,2024(4):2-6.
[16] 刘德凤 . 山东地区一株 IBDV 新型变异株的分离鉴定及致病性研究[D]. 泰安:山东农业大学,2023.
[17] 张晓宇.IBDV新型变异株的分离鉴定及其VP2蛋白表达与免疫原性分析[D]. 扬州:扬州大学,2023.
[18]LUAN H,WANG Y,LI Y,et al. Development of a real-time quantitative RT-PCR to detect REV contamination in live vac?cine[J]. Poultry science,2016,95(9):2023-2029.
[19] 孟霞,Gary D BUTCHER,Richard D MILES. 商业性生产中鸡传染性法氏囊病的高效防控方法[J]. 国外畜牧学(猪与禽),2020,40(12):63-66.
[20] YU Y,XU Z,OU C,et al. The effect of ghrelin on the fibrosis of chicken bursa of Fabricius infected with infectious bursal disease virus[J]. General and comparative endocrinology,2021,303:113705.
[21] 姜晓刚. 转移因子在肉鸡育雏期的应用[J]. 山东畜牧兽医,2016,37(7):11-12.
[22] PINEDA B,ESTRADA-PARRA S,PEDRAZA-MEDINA B,et al. Interstitial transfer factor as adjuvant immunotherapy for experimental glioma[J]. Journal of experimental & clinical cancer research,2005,24(4):575-583.
[23] 李富桂,张文生. 鸡转移因子的制备及其应用研究Ⅲ. 对法氏囊病和马立克氏病的治疗试验[J]. 中国畜禽传染病,1997(3):56-58.
[24] 苗雨潼 . 应用转移因子降低鸡传染性贫血病毒感染对 SPF鸡的致病性研究[D].泰安:山东农业大学,2024.
[25] WANG X,SONG M,WU Q,et al. Inhibitory effect of transfer factor on avian reticuloendotheliosis virus infection in chicks[J]. Veterinary sciences,2025,12(11):1041.
[26] 徐磊,钟佳莲,余勋信,等 . 猪脾转移因子提高 La Sota 株鸡新城疫弱毒疫苗的免疫保护率[J].畜牧兽医学报,2021,52(12):3578-3587.
[27] 李犹平,房春林,陈元坤,等.转移因子对猪瘟和猪蓝耳病疫苗免疫增强效果试验[J].兽医导刊,2010(2):47-48.

作者简介:朱孔达(1998-),男,硕士研究生,研究方向为动物分子病毒学与家禽肿瘤病,E-mail:zhukongda102@163.com

*通信作者:
常爽(1981-),女,博士,副教授,主要从事家禽垂直传播性病毒病致病机制和综合防控研究,E-mail:changshuang@sdau.edu.cn
赵鹏(1981-),男,博士,教授,主要从事家禽垂直传播性病毒病致病机制和综合防控研究,E-mail:zhaopeng@sdau.edu.cn

来源:中国家禽
回复

使用道具 举报

您需要登录后才可以回帖 登录 | 立即注册

本版积分规则

手机版|Archiver|鸡病专业网 ( 豫ICP备11024133号-2 )

GMT+8, 2026-5-11 14:04 , Processed in 0.168408 second(s), 31 queries .

快速回复 返回顶部 返回列表