鸡病专业网论坛

 找回密码
 立即注册

QQ登录

只需一步,快速开始

查看: 2163|回复: 0
收起左侧

【分享】2024-2025年我国28个地区的鸡源鸭疫里默氏杆菌流行...

[复制链接]

荣誉版主

奉献是美德。

Rank: 17Rank: 17Rank: 17Rank: 17Rank: 17

优秀会员奖添砖加瓦奖常驻居民奖社区居民社区明星忠实会员

来自
河南省郑州市
发表于 2026-2-24 10:51:53 | 显示全部楼层 |阅读模式 来自: 中国河南

马上注册,结交更多好友,享用更多功能,让你轻松玩转社区。

您需要 登录 才可以下载或查看,没有账号?立即注册

x
▌ 摘 要

为了解我国鸡源鸭疫里默氏杆菌(Riemerella anatipestifer,RA)流行情况,为鸡源RA防控提供数据参考,试验对2024-2025年中国28个地区进行鸡源鸭疫里默氏杆菌病流行病学研究。结果显示:13943份病料中,共分离1028株鸡源RA,鸡源RA总检出率为7.4%;品种检出率依次为商品肉鸡>商品蛋鸡>父母肉鸡>商品黄鸡>父母黄鸡>父母蛋鸡;1-6月检出率高于其他月份;山东、辽宁、河南等北方地区的鸡源RA检出率高于广东、广西等南方地区;从血清型来看,鸡源RA主要以1型、5型和10型为主,在山东、辽宁、河北、河南等北方地区血清型多样性多于广东、湖南等南方地区;在药物敏感试验中泰妙菌素+盐酸多西环素等组合配伍方案敏感率最高,硫酸黏菌素和卡那霉素敏感率最低。研究表明,我国鸡源RA的流行严重影响商品肉鸡和蛋鸡的生产,以1型、5型和10型流行为主,且在北方冬春季检出最高,呈现出品种、区域和月份流行的特异性。

▌ 关键词

鸡;鸭疫里默氏杆菌;血清型;流行病学;

鸭疫里默氏杆菌(Riemerella anatipestifer, RA)是一种革兰氏阴性菌,传统上主要感染鸭、鹅等水禽,引发以纤维素性心包炎、肝周炎和气囊炎为特征的“鸭传染性浆膜炎”[1]。自1982年该病在国内鸭场首次报道以来[2],其传播范围持续扩大,不仅在水禽中流行,近年来在不同品种的鸡群中也屡有检出[3],成为一种重要的家禽细菌性疾病。目前已知RA存在20余种血清型,在中国已鉴定的RA菌株包括15种血清型[4]。

RA对鸡群的威胁日益严重,且不同血清型的RA菌株之间缺乏有效的交叉保护性[4],提高了疫苗防控的难度,对养殖经济效益造成显著损害。本研究为明确当前鸡源RA的田间流行规律,对2024年至2025年6月期间收集的全国临床病例样品进行系统地病原分离鉴定和血清分型分析,旨在为该病的科学防控提供依据。

01、材料和方法

1.1 材料

1.1.1  病料样品

表1 病料样品来源信息

qw1.jpg

1.1.2  培养基

TSA+5%犊牛血清+1%NAD固体培养基。

固体培养基配制方法:称取16gTSA粉末溶于400mL去离子水中,混匀,121℃高压灭菌15min,待冷却至40-50℃,加入32mL血清和4mLNAD混合均匀,在生物安全柜内倒入无菌平皿中备用。

1.1.3  RA特异性引物

参考Zheng等[6]设计RA的ompA基因特异性引物,引物由生工生物工程(上海)股份有限公司合成,其中上游引物为:5’-GTATTGAAAGCTCTGGCGG-3’ 下游引物为5’-TCGCTTAGTCTCTGAACAA-3’ ,预扩增PCR产物长度654 bp。

1.1.4  主要试剂及仪器

主要试剂: 1×PBS、2×Taq Master Mix 试剂盒和1×TAE 电泳缓冲液,购自北京全式金生物技术股份有限公司;胰蛋白胨大豆琼脂 TSA,购自海博生物技术有限公司;犊牛血清购自内蒙古维克生生物技术股份有限公司;11种RA血清型阳性血清(RA1、RA2、RA4、RA5、RA6、RA7、RA10、RA11、RA12、RA13、RA18)及阳性菌株由天津瑞普生物技术股份有限公司保存;药敏片由天津渤海农牧产业联合研究院有限公司自制。

主要仪器:核酸凝胶成像仪(GELDOCXR+型,美国伯乐公司)、普通PCR仪器(T100型,美国伯乐公司)、光学显微镜(CI-L型,尼康)、立式压力蒸汽灭菌锅(G154DS型,致微(厦门)仪器有限公司)。

1.1.5血清制备方法

采用2-3kg新西兰大耳白兔,分别经背部皮下分点注射不同血清型5*105/mL的RA菌悬液,1mL/只。一周后以同样方式进行二次接种,第三周进行采血,分离血清。测定血清效价,若血清效价不符合要求,则继续接种,若符合要求对白兔进行采血,分离血清,每组血清不低于70mL,并参考四川农业大学团队的专利技术进行鉴定[7]。

1.2  方法


1.2.1  RA的分离鉴定

无菌操作下,分别剪切病料组织(肝脏、腹气囊及输卵管干酪物),在含5%牛血清的TSA琼脂培养基平板上划线分离。将平板置于37℃微需氧环境中培养24~48小时。观察细菌生长情况并记录菌落形态特征。选取可疑菌落,用含5%牛血清的TSA琼脂培养基进行纯化培养。挑取形态特征一致的单个疑似菌落,进行革兰氏染色,并于显微镜下观察其染色特性和细菌形态。

1.2.2  血清型鉴定

采用玻片凝集法,对纯化培养出的菌株进行血清型鉴定:用无菌接种环挑取菌株培养物涂布于波片上并分别滴入根据参考文献的方法所筛选的RA1-13型、RA18型兔抗阳性血清,用无菌移液器吹打混匀,另设生理盐水对照组,混匀后3min内出现絮状凝集状态为阳性[8]。

1.2.3  PCR扩增

按照诺唯赞全自动核酸提取仪说明书操作提取核酸。PCR扩增体系:2×Taq Master Mix 12.5μL,DNA 2 μL,上、下游引物(10μmol/L)各0.5 μL,ddH2O 9.5 μL;同时设置阳性对照和阴性对照。PCR反应程序:95℃ 30 s, 95℃ 15S, 55℃ 15S, 72℃ 30S 35个循环;72℃ 延伸5 min。

1.2.4  药敏试验

对1028株纯化培养的菌株均匀涂布于含5%牛血清的TSA琼脂培养基平板上,将头孢噻呋钠、泰妙菌素、盐酸多西环素等18种药物的药敏片贴置与平板表面,置于37℃微需氧环境中培养24~48小时,用游标卡尺测量抑菌圈直径(抑菌圈<10mm为耐药,>10<20mm为中敏,>20mm为敏感),判断分离菌对各药敏片的敏感性。

1.3  统计与分析


将RA检测结果按照月份、区域、鸡品种等进行统计与分析,选择1028株分离菌进行血清型鉴定,统计血清型分布情况。

02、结果与分析


2.1  细菌的分离与鉴定

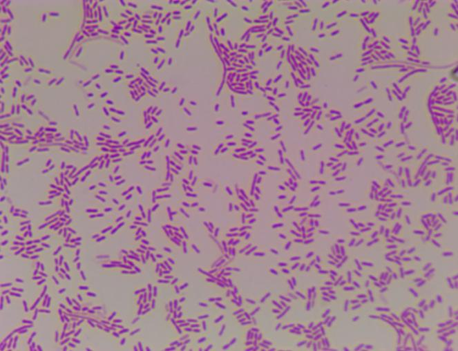
分离菌在TSA平板中呈现半透明、边缘光滑、露滴状、乳白色的菌落。经革兰氏染色镜检后发现为革兰氏阴性短杆菌,多呈单个状态,部分丝状菌(见图1),菌落形态及革兰氏染色镜检符合RA形态。

qw2.jpg
图1  鸡源RA革兰氏染色结果(1000×)

2.2  PCR鉴定结果

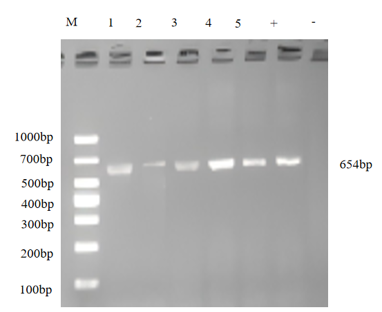
以分离菌的基因组为模板,使用设计的ompA基因特异性引物进行PCR扩增,获得约为654 bp的目的条带(见图2),1-5号样本与预期大小相符,判定为RA阳性。

qw3.jpg
图2  OmpA基因的PCR扩增结果
注:M.DL1000 DNA Marker;1-5. 分离菌ompA片段;+. 阳性对照;-. 阴性对照

2.3  鸡源RA总检出率

结果显示,从2024年-2025年6月收集的13943份病料共分离到1028例鸡源RA,总体检出率为7.4%;2024年1-5月及2024年12月-2025年6月检出率高于其他月份,具体结果见表2。

表2 2024—2025年鸡源RA检出率
qw4.jpg

2.4  鸡源RA检出率地区分布

结果显示,山东、辽宁、河南、河北、山西等北方地区鸡源RA综合检出率较高,广东、广西、云南等南方养殖大省综合检出率低于部分北方地区(见表3)

表3 不同地区的鸡源RA检出率
qw5.jpg
注:检出率=某地区阳性样品数/某地区检测样品数;总检出率=某地区阳性样品数/本次检出阳性样品总数。

2.5  不同品种鸡只鸡源RA检出率

结果显示,商品肉鸡鸡源RA检出率最高,达到8.9%,商品蛋鸡次之,为7.6%,父母蛋鸡检出率最低,为4.9%(见表4)。

表4 不同代次鸡的RA检出率
qw6.jpg

2.6  鸡源RA血清型分布

结果显示,2024年-2025年6月鸡源RA主要以1型、5型和10型流行为主,三者合计占比达到76.4%;从不同品种鸡源RA血清型分布来看,父母蛋鸡以4型为主,父母黄鸡以11型为主,父母肉鸡以1型、5型和10型为主,商品蛋鸡以10型、5型和1型为主,商品黄鸡以11型为主,商品肉鸡以1型、4型、10型和5型为主(见表5)。

从不同地区鸡源RA血清型分布来看,大部分地区只有1种血清型,主要分布在安徽、陕西、江西等地,以10型血清型为主。北方地区血清型多样性高:辽宁和山东各有6种血清型,山西、河南、河北各5种,以1型血清型为主(见表6)。

表5 不同品种鸡只血清型分布
qw7.jpg

表6 2024年-2025年6月不同地区和鸡品种鸡源RA血清型分布
qw8.jpg

2.7  鸡源RA药敏测试

结果显示:分离菌对泰妙菌素+盐酸多西环素(98.05%)、头孢噻呋钠+硫酸黏菌素(98.05%)、头孢噻呋钠+硫酸新霉素(96.69%)组合用药敏感率最高,而硫酸黏菌素(13.62%)、卡那霉素(14.98%)单方用药敏感率最低(见表7)。

表7 鸡源RA药敏结果
qw9.jpg

03、讨论

近年来在家禽生产中,鸡源RA的发生与流行越发普遍,严重影响经济效益。特别在白羽肉鸡养殖量大的山东和辽宁地区,病原微生物的环境污染相对严重[9-10]。本试验结合病例收集情况,回顾性研究了2024年-2025年6月在全国收集的总计13596份临床样本的鸡源RA流行病学,揭示其流行特征。

3.1  流行时间和区域性

本研究表明,鸡源RA在一年四季均可发生,但在1-6月呈现高发态势,高于其他月份。且北方地区(温带季风气候,如山东、辽宁、河北)冬春两季的检出率高于南方地区(亚热带季风气候,如广东、广西),但在重庆、四川、湖北三个地区检出率显示最高(15.4%、11.5%、8.5%),此差异是因样本量较小导致的差异[11]。这种流行时间差异与南北方的气候特点密切相关:北方冬春季节气候多变,冬季严寒干燥,春季昼夜温差大,此类环境易诱发鸡群呼吸道损伤,为细菌增殖和传播创造条件[12]。加之冬春季节为保温常导致鸡舍通风不良,进一步增加了呼吸道疾病的易感性,从而促进了鸡源RA的流行[13]。

3.2  品种易感性

本研究表明,不同品种鸡对于鸡源RA易感性存在差异,商品肉鸡的检出率最高(8.9%),商品蛋鸡次之(7.6%),父母代鸡群检出率(4.9-5.8%)较商品代鸡群检出率低(5.7-8.9%)。在山东、辽宁、河北等北方养殖大省检出率最高,表明鸡源RA在山东、辽宁和河北等北方地区在冬春两季的商品蛋鸡和商品肉鸡中的流行更加普遍。山东省作为中国畜牧业第一大省,禽类养殖呈现规模化、区域化特征,肉鸡、蛋鸡、水禽(尤其是肉鸭)养殖量均居全国前列。研究表明,鸭源RA Hxb2株与鸡源QD01株的16S rDNA同源性高达99.9%[14],存在从鸭向鸡的跨宿主传播的可能。值得注意的是,在辽宁、山西等水禽养殖规模相对较小的地区,鸡源RA同样普遍流行,表明其传播途径已不局限于水禽密集区,雏禽的跨省调运可能是重要的传播扩散因素之一[15]。

3.3  药物敏感性

本研究表明,鸡源RA分离菌对泰妙菌素+盐酸多西环素等组合用药保持高度敏感,而对硫酸黏菌素和卡那霉素高度耐药。其他学者对鸡源RA的研究表明:波兰株和国内QD01株对β-内酰胺类(阿莫西林、头孢噻呋)和酰胺醇类药物(氟苯尼考)高度敏感,波兰菌株的耐药基因有tet(X)(四环素酶基因,72%)、ermF(红霉素耐药,25%)、blaTEM(β-内酰胺酶,3.5%),对多黏菌素和氨基糖苷类(庆大霉素、阿米卡星等)药物高度耐药[16]。表明在防控鸡源RA,应多采用泰妙菌素+盐酸多西环素等组合用药配伍方案。

3.4  血清型和致病性

本研究表明,当前1型、5型、10型是鸡源RA(商品肉鸡和蛋鸡)的优势血清型,其中1型RA占比最高。这一发现与李富金和王友的研究报道一致[17-18],但不同于水禽(鸭、鹅)中以1型、2型、10型为主的流行分布[19-20]。且血清型分布具有一定的地域特异性,在山东、辽宁、河北和河南等北方地区血清型较复杂,1型RA为主要流行态势,致病性相对较弱,感染鸡群多表现为一过性症状,如精神沉郁、泡沫粪等,死亡率较低。SPF鸡攻毒试验中仅见短暂腹泻,无死亡或典型的心包炎、肝周炎、气囊炎(“三炎”)病变,病理变化轻微。肉鸡感染后常见跗关节肿胀、跛行,但心包炎、肝周炎等病变程度较轻[21]。10型RA覆盖最广,在全国14个地区高度流行,10型RA具有强致病性和高致死率,感染后1天内即出现精神沉郁、食欲不振,2-3天引发关节红肿、瘫痪,5天内攻毒鸡均出现腿病。剖检可见严重的心包积液、肝周炎、气囊炎及腹膜炎[22]。10型RA对SPF鸡的致死率显著高于1型,且感染樱桃谷鸭后3天内可致全群死亡[23],不同血清型菌株致病性存在差异,且没有交叉保护性,从而导致防控难度的增加。

04、结论

2024-2025年禽源RA总体检出率为7.4%,禽源RA检出率在每年1月至6月达到峰值,品种检出率依次为商品肉鸡>商品蛋鸡>父母肉鸡>商品黄鸡>父母黄鸡>父母蛋鸡,当前流行株的优势血清型为1型、5型和10型,父母蛋鸡以4型为主,父母黄鸡以11型为主,商品黄鸡以11型为主,父母肉鸡、商品蛋鸡和商品肉鸡均以1、5和10型为主。其中,1型RA在山东、辽宁、河北、河南等北方地区占优势;10型RA流行范围最广,在全国14个地区均有检出,对于鸡源RA的治疗,采用泰妙菌素+盐酸多西环素等组合用药配伍方案敏感性最高。总体而言,禽源RA的检出率具有品种、区域和月份特异性。

参考文献:
[1]张大丙, 郭玉璞. 鸭疫里默氏菌[J]. 中国动物保健, 2001 (7): 20-22.
[2]Ren X, Chen Z, Niu P, et al. XRE-type regulator BioX acts as a negative transcriptional factor of biotin metabolism in Riemerella anatipestifer[J]. Journal of Bacteriology, 2021, 203(15): 10.1128/jb. 00181-21.
[3]HU Q, ZHU Y, TU J, et al. Identification of the genes involved in Riemerella anatipestifer biofilm formation by random transposon mutagenesis[J]. PLoS One, 2012, 7(6):e39805.
[4]Higgins D A, Henry R R, Kounev Z V. Duck immune responses to Riemerella anatipestifer vaccines[J]. Developmental & Comparative Immunology, 2000, 24(2-3): 153-167.
[5]Pathanasophon P, Phuektes P, Tanticharoenyos T, et al. A potential new serotype of Riemerella anatipestifer isolated from ducks in Thailand[J]. Avian Pathology, 2002, 31(3): 267-270.
[6]Zheng F ,Lin G ,Zhou J , et al.Loop-mediated isothermal amplification assay targeting the ompA gene for rapid detection of Riemerella anatipestifer[J].Molecular and Cellular Probes,2010,25(1):65-67.
[7]四川农业大学.一种鸭疫里默氏菌13种血清型的PCR鉴定引物及多重PCR检测方法:202310817724.4[P].2023.8.29[2024.1]
[8]任晓梅, 王小兰, 韩文龙, 等. 鸭疫里默氏杆菌的分离鉴定与生物学特性研究[J]. 中国动物传染病学报, 2018, 26(4): 47-51.
[9]董洪燕,张燕,王彦红,等.江苏地区10株鹅源鸭疫里默氏杆菌的耐药性及致病性特征分析[J].微生物学通报, 2021, 048(012):4756-4764.
[10]杨少艳,刘红祥,蔡联燊,等.鸡源鸭疫里默氏杆菌的分离鉴定与生物学特性研究[J].家畜生态学报, 2024, 45(9):51-56.
[11]黄保续.兽医流行病学[M].北京:中国农业出版社,2009.
[12]刘存,刘海涛,吕俊峰,等.鸡源鸭疫里默氏杆菌病研究进展[J].家禽科学,2025,47(05):68-73.
[13]陈永亮,戚邦帅.徐州地区鸭疫里默氏菌病的流行病学调查[J]. 中国兽医杂志, 2012, 48(5): 54-56.
[14]郭玉璞. 我国对鸭传染性浆膜炎研究概况[J]. 中国兽医杂志, 1997, 23(12): 37-38.
[15]李维升,王艳,高亚东,等.1株鸡源鸭疫里默氏杆菌的分离鉴定及其生物学特性分析[J].中国动物传染病学报,2024.
[16]Nowaczek A, Dec M, St?pień-Py?niak D, et al. Characterization of Riemerella anatipestifer strains isolated from various poultry species in Poland[J]. Antibiotics, 2023, 12(12): 1648.
[17]李富金,汪建华,高凤,等.一株鸡源鸭疫里默氏杆菌的分离鉴定[J].山东畜牧兽医,2023,44(09):1-4.
[18]王友,段伦涛,汪晓飞,等.一株鸡源鸭疫里默氏杆菌的分离鉴定及其致病性研究[J].山东畜牧兽医,2025,46(04):8-11.
[19]顾玉美,侯军,钟万金,等.鸭疫里默氏杆菌流行菌株的血清型分析与最小感染量测试[J].中国禽业导刊, 2023, 40(3):60-63.
[20]杨永胜, 陈研, 薛亚飞, 等. 4 株鹅源鸭疫里默氏杆菌生物学特性分析[J]. 中国动物传染病学报, 2020, 28(5): 62-66.
[21]高巍.一株鹅源鸭疫里默氏杆菌1型菌株的分离鉴定与生物学特性分析[J].家禽科学,2023,45(01):44-46+49.
[22]汪建华, 马芹, 王胜, 等. 一株肉种鸡源鸭疫里默氏杆菌分离鉴定及致病性研究[J]. 中国家禽, 2024, 46(4): 107.
[23]李富祥,赵文华,宋建领,等.鸡源鸭疫里默杆菌的分离鉴定及ompA基因遗传进化分析[J].中国兽医学报,2021,41(02):253-258.


来源:养殖宝平台,作者:王友、曲直、冯敬敬、段宝敏、李德庆、汪晓飞、车艳杰、刘玉庆、秦爱建、唐熠
回复

使用道具 举报

您需要登录后才可以回帖 登录 | 立即注册

本版积分规则

手机版|Archiver|鸡病专业网 ( 豫ICP备11024133号-2 )

GMT+8, 2026-4-15 06:41 , Processed in 0.159074 second(s), 32 queries .

快速回复 返回顶部 返回列表