鸡病专业网论坛

 找回密码
 立即注册

QQ登录

只需一步,快速开始

查看: 1813|回复: 0
收起左侧

【分享】从“尿酸超标”到“鸡群崩溃”——看懂鸡痛风的全过程

[复制链接]

荣誉版主

奉献是美德。

Rank: 17Rank: 17Rank: 17Rank: 17Rank: 17

优秀会员奖添砖加瓦奖常驻居民奖社区居民社区明星忠实会员

来自
河南省郑州市
发表于 2025-11-18 17:30:00 | 显示全部楼层 |阅读模式 来自: 中国河南

马上注册,结交更多好友,享用更多功能,让你轻松玩转社区。

您需要 登录 才可以下载或查看,没有账号?立即注册

x
qw2.jpg


在当前集约化养鸡生产中,痛风已经成为导致鸡群死亡和淘汰的重要问题之一,常表现为“外观突然死亡、剖检才发现严重病变”。

系统了解鸡痛风的易感原因、流行特点、病理变化及防控思路,有助于从饲养管理、营养配制和疫病防控等多个环节减少损失、提高生产效益。

本文根据《Review – Gout in Chicken》一文内容整理而成,对鸡痛风的病因、病理变化及防控要点进行客观梳理,供养殖场和兽医参考。

qw3.jpg

一、为什么鸡容易得痛风?

鸡属于“尿酸型”动物,氮代谢最终产物主要以尿酸形式排出,同时又缺乏将尿酸进一步分解为更易排出的物质(如尿囊素)的尿酸酶。

单纯尿酸并不一定有毒,但当尿酸在体内形成针状尿酸盐晶体并沉积在肾脏、心脏、肝脏、气囊、肠道等脏器表面时,就表现为内脏型痛风,而沉积在关节及周围软组织时则表现为关节型痛风

这些晶体对组织造成机械性损伤诱发炎症反应器官功能衰竭,在痛风鸡中血尿酸可升高到 44 mg/100 ml,而正常水平一般为 5–7 mg/100 ml

肾脏是最关键的受累器官,但只要仍有超过三分之一的肾组织保持功能,鸡只往往仍能维持生产,临床上因此常表现为“外表突然死亡,剖检才发现严重病变”的情况。

二、发病情况

1、季节特点

流行病学调查显示,鸡痛风在寒冷季节发病率最高。其次是夏季,雨季发病率因地区而异。

这与低温时尿酸生成增加、溶解度下降以及冷应激导致的死亡率升高有关。

雨季卫生条件较差、垫料潮湿则容易增加肾脏负担继发感染风险

2、日龄特征

从日龄看,幼龄雏鸡发生内脏型痛风的风险明显高于成鸡。

主要因为雏鸡肾脏结构尚未完全成熟,更易受到饲料配方、病毒感染及药物等因素的损伤。

在性成熟前后(如育成鸡转入高钙产蛋料阶段),如果肾脏已经存在“隐性损伤”,此时再叠加高钙负荷,极易诱发痛风

三、主要病因

鸡痛风并非单一病原导致,而是营养、感染、药物毒性及饲养管理等多种因素共同作用的“多因素肾损伤综合征”,任何能损害肾功能或升高尿酸负荷的因素都可能成为诱因。

1、营养相关因素

其中饲料营养方面,高钙日粮(尤其是长期钙含量超过 2% 且 Ca 比例失衡)会损伤肾小管并促进钙-钠-尿酸盐结晶。

粗蛋白水平过高(如在已有肾损伤的鸡群中长期超过 30%)或蛋白原料被掺加尿素会显著增加尿酸生成并加重肾负担。

矿物质比例失衡如 Ca 过高、高钠日粮、饮用硬水以及长期大量使用碳酸氢钠等也会增加肾脏负荷并使尿液偏碱,更易形成尿酸盐结石。

维生素方面,维生素 D? 过量会增强肠道对钙的吸收,加剧高钙血症和尿酸盐沉积,而长期维生素 A 缺乏可导致肾小管上皮脱落和堵塞,引起尿酸排出障碍。

2、管理相关因素

脱水:管理因素中,脱水是导致内脏型痛风的常见直接诱因,包括雏鸡长时间滞留孵化场或运输途中缺水、育雏温度不当导致采水量下降、饮水器数量不足或高度设置不合理、疫苗接种期间人为停水以及饮水 pH 过低或含铜硫酸盐等刺激性物质导致的拒水,这些情况均会造成肾血流减少、滤过率下降和肾小管堵塞;

疾病:感染性病因方面,传染性支气管炎病毒(肾型 IBV)、禽肾炎病毒(ANV)、鸡星状病毒(CAstV)等肾炎相关病毒可直接损害肾组织,垂直传播会使后代雏鸡从出壳起就带有肾损伤基础。一旦再遇到高蛋白、高钙、脱水等应激便易出现群体性痛风

霉菌毒素和药物:此外,部分霉菌毒素如赭曲霉毒素 A、柠檬霉素、DON 等具有肾毒性和肝毒性,会降低尿酸排泄导致体内蓄积,而氨基糖苷类(如庆大霉素)、磺胺类、部分抗球虫药和非甾体抗炎药(如双氯芬酸、氟尼辛、美洛昔康等)在雏鸡中过量或长期使用亦可造成肾脏损伤,一些酚类消毒剂、煤酚皂溶液误用或饮水中大量使用硫酸铜引起的拒水和脱水也与痛风发生有关。

四、两种主要类型

内脏型通风:

内脏型痛风多为急性型,常见于 2–3 日龄的肉鸡14 周龄以上的后备蛋鸡,特点是在心包、肝包膜、气囊、腹膜、肾脏和输尿管表面出现大片白色粉笔样或石灰样尿酸盐沉积,鸡体常伴严重脱水、消瘦和急性高死亡率,原文中严重内脏型痛风病鸡全身可见大片白色尿酸盐沉积的图片可在描述“内脏表面出现大片白色粉笔样沉积”。

qw4.jpg

关节型痛风:

关节型痛风则为慢性型,相对少见,尿酸盐结节(痛风石,tophi)主要沉积在趾关节、翅关节、肌腱及其周围软组织,临床上可见关节肿胀、发热、疼痛,鸡只不愿活动、长时间卧地、步态摇摆或跛行,一般仅累及 1–2 处关节,肾脏外观可接近正常,但若同时发生脱水则可能伴随内脏尿酸盐沉积。

qw5.jpg

五、发病机制

痛风的本质是肾功能下降导致尿酸排出障碍,从而出现血尿酸升高、尿酸盐晶体沉积及组织损伤的过程

鸡因缺乏尿酸酶,蛋白质代谢终产物以尿酸形式排出,且尿酸在水中溶解度较低,因此任何导致肾小球滤过下降或肾小管堵塞的因素(如感染、毒素、脱水、营养失衡)都会促使尿酸在血液和体液中蓄积。

当尿酸盐结晶沉积在关节空间、滑膜和浆膜表面后,可激活补体产生趋化因子 C3a、C5a 等。

吸引中性粒细胞和巨噬细胞聚集,吞噬晶体后释放大量自由基和炎性介质(如 IL-1、IL-6、IL-8、TNF 等),同时刺激软骨和滑膜细胞释放蛋白酶,引起软骨破坏和关节损伤

因此从机理上看,只有在降低血尿酸水平并逐步溶解已沉积晶体的前提下,才能从根本上阻断这一恶性循环。

六、临床表现与实验室检测

临床上痛风鸡多表现为精神沉郁、嗜睡、分群、站立不稳,羽毛蓬乱、体况消瘦并伴有不同程度脱水,排出白色浆状或膏状的尿酸盐样粪便,泄殖腔周围常见潮湿和污染,关节型病例可见关节肿大、疼痛,鸡只行走困难或长时间卧地,随病情进展饲料和饮水摄入明显下降,群体死亡率上升.

实验室检测方面,痛风鸡的血清尿酸和肌酐水平明显升高,提示肾小球滤过功能受损,红细胞总数(TEC)、血红蛋白(Hb)、白细胞总数(TLC)和红细胞压积(PCV)升高,多与脱水和机体免疫反应增强有关,肝功能指标(AST、ALT、ALP)在高蛋白饲喂或药物性肝损伤时亦可升高,同时可见抗氧化系统失衡,如谷胱甘肽(GSH)下降、脂质过氧化产物(TBARS、MDA 等)升高,提示机体存在氧化应激和细胞膜损伤。

七、剖检与组织病理变化

内脏肉眼病变:


剖检时,内脏型痛风鸡常见严重脱水和消瘦,心包、肝包膜、气囊、肾脏表面及输尿管内可见大片白色粉笔样尿酸盐沉积。

肾脏肿大、颜色变淡或呈“结霜样”,肾小叶轮廓模糊并可见点状出血。

输尿管明显扩张、充满半流体或半固体白色尿酸盐,呈“白色粗绳样”

肝脏肿大、质脆,包膜及实质中可见白色尿酸盐斑块,伴有充血、出血和坏死灶。

心包炎、心肌出血及肺部尿酸盐沉积和气囊塌陷亦较常见。

严重病例中胸肌、腹壁、肠系膜、生殖器官等多部位可见散在或大片白色尿酸盐斑块。

qw6.jpg

组织学变化(H&E 染色):

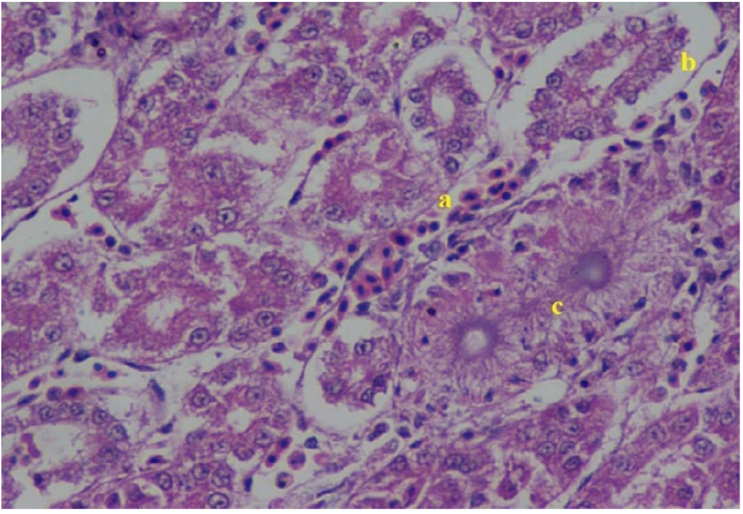
肾脏:肾小球和肾小管明显充血出血,肾小管上皮空泡变性、脱落和坏死,部分管腔内可见透明管型,肾实质中存在放射状排列的尿酸盐晶体团,周围伴异物巨噬细胞和炎性细胞浸润。

qw7.jpg

肝脏:肝脏切片可见肝细胞脂肪变性、坏死,窦状隙扩张充血,肝包膜下肝细胞扁平化,Glisson 氏囊结缔组织增生,肝髓质区域可见放射状尿酸盐沉积并伴单核细胞和异物巨噬细胞浸润,适宜在描述肝脏组织学变化处插入。

qw8.jpg

其他脏器:其他脏器如心肌可见血管高度充血、心肌纤维间出血及局灶性尿酸盐沉积,肺部可在气管周围、肺泡和副支气管中见到尿酸盐沉积并伴附近气囊塌陷或水肿,脾脏包膜及实质中亦可见尿酸盐沉积、被膜下出血等。

特殊染色:在 De Galantha’s 染色下,尿酸盐晶体呈黑色团块或针状结构,便于与其他沉积物区分,适宜在介绍特殊染色结果时进行。

qw9.jpg

八、防控思路

1. 预防要点(饲养管理)


配制科学日粮
:鸡痛风的预防重点在于从饲料、水和肾脏保护三方面综合入手:在营养管理上,通过配制科学日粮,保持适宜的钙、磷比例(一般 Ca 约为 2:1)、将粗蛋白水平控制在不同日龄和用途鸡群的推荐范围内、合理控制食盐、碳酸氢钠等阳离子添加量并选用常规优质蛋白原料以避免掺假,可减轻肾脏代谢负担。

监控霉菌毒素与药物使用:霉菌毒素和药物使用方面,需要定期检测饲料霉菌毒素含量,在超标时更换饲料或应用适宜的霉菌毒素吸附剂,同时遵循肾毒性和肝毒性药物的合理剂量与休药期,避免长期或超量用药。

饮水和环境管理:应确保鸡群随时获得清洁、易于取用的饮水,避免长时间停水和水温极端变化,谨慎评估饮水中高浓度铜盐等添加物的风险,并通过合理的育雏温度和通风减少热应激与冷应激。

疫苗与生物安全
:在疫病防控和生物安全上,对于肾型 IBV 流行地区,可结合当地流行状况优化肾型 IBV 疫苗程序,加强生物安全措施以降低肾炎相关病毒的引入和传播

2. 发病后的干预与治疗

在已发生痛风的鸡群中,提供充足饮水和电解质以减轻脱水和电解质紊乱,短期适当降低日粮蛋白水平以减少尿酸生成。

在饲料或饮水中适量添加可促进尿酸排泄和尿液酸化的物质(如一定量的醋、氯化钾、氯化铵、硫酸铵等,具体用量和周期需按研究或说明执行)。

合理补充维生素 A、D3、K 和 B 族维生素

部分研究中还探索了别嘌醇(Allopurinol)降低尿酸生成及在一定钙水平下添加蛋氨酸羟基类似物的效果。

相关药物和剂量应在遵守当地法规的前提下由专业兽医评估后应用。

九、小结

总体来看,鸡痛风是由营养、感染、药物毒性和饲养管理等多种因素共同作用所致的肾损伤综合征

其核心病理环节为高尿酸血症和尿酸盐晶体沉积,可表现为急性的内脏型痛风慢性的关节型痛风

通过合理配制饲粮、规范用药、保障饮水、优化环境并结合针对性疫苗生物安全措施,可以显著降低鸡群痛风的发生风险

对于已发病鸡群,在及时干预尿酸代谢和酸碱平衡、减轻肾脏负担的前提下,配合适当的支持疗法,有助于降低死亡率和经济损失

来源:poultry times,文:原文,配图:原文&网络
回复

使用道具 举报

您需要登录后才可以回帖 登录 | 立即注册

本版积分规则

手机版|Archiver|鸡病专业网 ( 豫ICP备11024133号-2 )

GMT+8, 2025-12-11 22:00 , Processed in 0.248494 second(s), 31 queries .

快速回复 返回顶部 返回列表