鸡病专业网论坛

 找回密码
 立即注册

QQ登录

只需一步,快速开始

查看: 2520|回复: 0
收起左侧

【分享】蛋鸡黄曲霉毒素中毒合并鸭源鸡杆菌感染的诊断

[复制链接]

鸡病专业网编辑

Rank: 46Rank: 46Rank: 46Rank: 46Rank: 46Rank: 46Rank: 46Rank: 46Rank: 46Rank: 46Rank: 46Rank: 46

发表于 2025-9-30 11:07:24 | 显示全部楼层 |阅读模式 来自: 中国河南

马上注册,结交更多好友,享用更多功能,让你轻松玩转社区。

您需要 登录 才可以下载或查看,没有账号?立即注册

x
黄曲霉毒素(Aflatoxins,AF)是一类由特定霉菌(主要为黄曲霉和寄生曲霉)产生的剧毒真菌代谢产物,常在储存不当的谷物和饲料中形成。AF污染已被广泛认为是全球农业生产中威胁动物健康和经济效益的严重问题,尤其在湿热气候和储存条件差的地区尤为严重。家禽食用AF超标饲料后,病理变化不仅表现为肝脏毒性和免疫抑制,还会对消化道上皮细胞造成严重损伤。此外,肠道吸收营养的能力受损,导致微量营养素吸收不良,严重影响家禽的生长和生产性能。更为重要的是,AF是一种强效免疫抑制剂,能够通过干扰体液免疫和细胞免疫反应,造成免疫系统的全面损害。这种免疫抑制效应大幅增加了家禽感染疾病的风险,严重威胁生产性能和健康。

2024年1月,山东金乡某蛋鸡场产蛋率骤降30%~50%,造成严重的经济损失。为明确发病原因,通过病鸡剖检、病理组织学特征、细菌分离鉴定和EILSA检测AF,发现了AF中毒合并鸭源鸡杆菌感染是产蛋骤降的直接原因

一 材料与方法

1、主要仪器与试剂


T100 Thermal Cycler PCR仪为上海精天电子仪器有限公司产品;DYY-5C核酸电泳仪为上海市六一仪器厂产品;JB-L7生物组织包埋机湖北俊杰电子有限公司产品;TG14-WS离心机为湖南湘仪离心机仪器有限公司产品。

LB肉汤粉、LB营养琼脂均购自青岛高科技工业园海博生物技术有限公司;AF总量检测试剂盒购自上海酶联生物科技有限公司。

2、病例史

2024年1月,山东金乡某蛋鸡场蛋鸡发生产蛋大幅度下降,产蛋率仅达到30%~50%,同时蛋鸡体重明显下降。该场养殖规模为50万套父母代,共有4个场,每场12.5万套,8栋鸡舍,养殖模式为三层A型笼养。从该场挑选2只150日龄产蛋明显下降的蛋鸡进行剖检观察。随后对剖检的组织进行导致产蛋下降的相关病毒检测,包括禽腺病毒(FAdV)、鸡传染性支气管炎病毒(IBV)、鸡传染性贫血病毒(CAV),PCR检测结果均为阴性。

3、病例剖检及病料采集

对送检的病鸡进行翅下静脉采血或颈静脉采血,利用瑞氏-吉姆萨染色制作血涂片。剖检依次取下肝脏、肾脏、胃、卵泡、输卵管等,将组织样品固定于福尔马林液中,随后进行病理组织切片的制备。

4、AF ELISA检测

取2 mL血清样品加5 mL样品提取液,振荡5 min。加标准品和样本50 mL/孔到各自微孔中,然后加酶标记物50 mL/孔,再加50 mL/孔抗体工作液,用膜封板,25 ℃反应30 min。之后揭开盖板膜,甩去工作液,每孔加入350 mL工作洗涤液,静置30 s弃去,重复5次,最后一次拍干(未清除的可用枪头吸走)。之后每孔加入 100 mL的显色液,25 ℃显色15 min,加入50 mL/孔终止液,终止反应。用酶标仪于450 nm处测定每孔的吸光度值。

5、细菌分离鉴定


用接种环在输卵管中涂抹,将其涂划在血平皿上,在37 ℃烘干箱里培养,观察菌落形态并挑取单菌落进行摇菌培养,37 ℃,220 r/min震荡培养12~16 h。利用基因组DNA提取试剂盒(天源生物,中国北京)的说明提取细菌基因组DNA。使用16S rDNA引物进行PCR扩增。PCR产物经1%琼脂糖凝胶电泳显色,并由生工生物技术(上海)有限公司进行测序。利用NCBI 网站上的BLAST工具对16S rDNA基因序列进行了鉴定,将鉴定结果利用MEGA11构建进化树。

二 结果与分析

1、大体剖检观察


对产蛋下降的病鸡剖检可见,1号蛋鸡肝脏有大量出血点、肿大,腺胃潮红,卵泡发育不良,输卵管和肾脏眼观无明显病变;2号蛋鸡肝脏有弥漫性出血斑,腺胃乳头消失,卵泡发育不良。

2、病理组织学观察

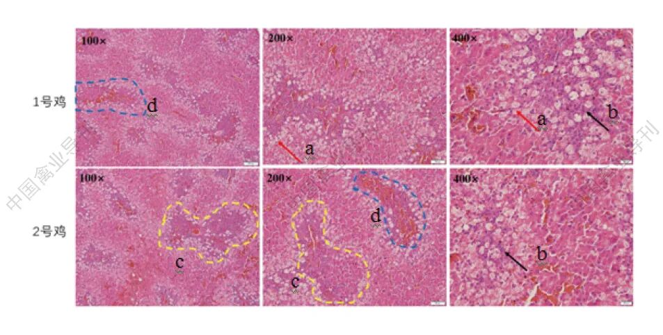
1号鸡和2号鸡肝脏病理组织学观察可见,血管周围的肝细胞出现空泡变性,肝细胞坏死形成坏死灶,在坏死灶中央结缔组织增生,同时伴有肝脏出血(见图1)。

qw3.jpg
a.血管周围肝细胞出现大量空泡变性;b.坏死灶中央结缔组织增生;c.肝细胞坏死形成坏死灶;d.肝脏出血
图1 患病鸡肝脏病理组织学观察


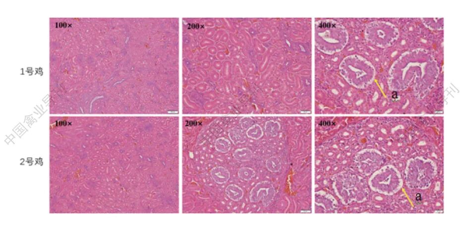
1号鸡和2号鸡肾脏病理组织学观察可见,集合管上皮细胞从基底膜脱落,肾脏中肾小球的数量整体减少(见图2)。

qw4.jpg
集合管上皮细胞从基底膜脱落
图2 患病鸡肾脏病理组织学观察


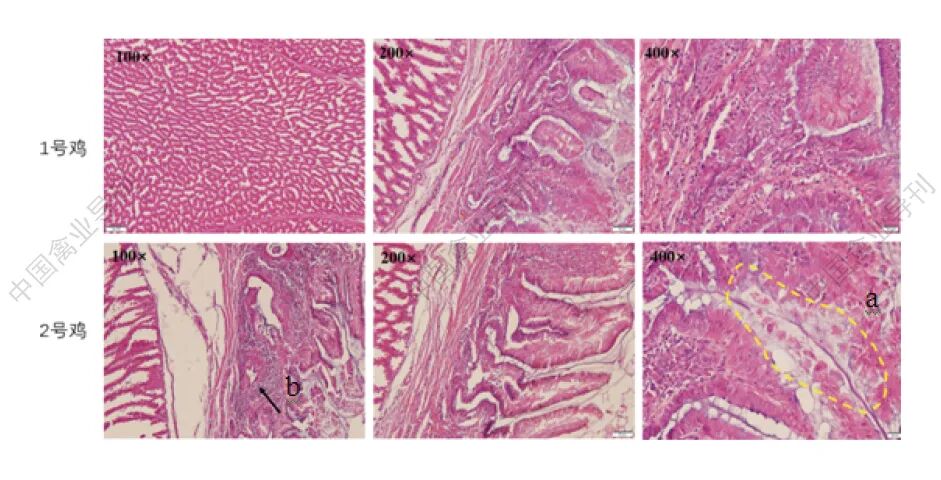
1号鸡和2号鸡腺胃病理组织学观察可见,腺胃绒毛上皮细胞变性坏死,黏膜固有层可见少量淋巴细胞浸润(见图3)。

qw5.jpg
a.腺胃绒毛上皮细胞变性坏死;b.黏膜固有层有大量淋巴细胞浸润
图3 患病鸡腺胃病理组织学观察


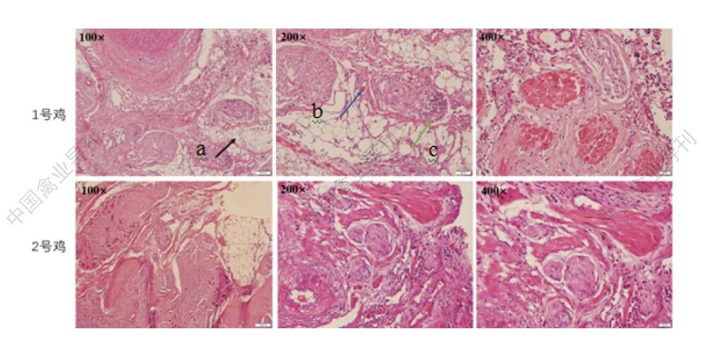
1号鸡和2号鸡输卵管病理组织学观察可见,间质水肿,间质有少量淋巴细胞浸润,输卵管管腔折叠,管腔内有渗出液,管壁有结缔组织增生(见图4)。

qw6.jpg
a.间质水肿伴有少量淋巴细胞浸润;b. 输卵管管腔折叠,管腔内有渗出液;c. 结缔组织增生
图4 患病鸡输卵管病理组织学观察


1号鸡和2号鸡卵泡病理组织学观察可见,卵泡退化被脂肪取代,肌层间隙有空泡化。卵巢间质水肿,有淤血,血管周围有少量淋巴细胞浸润,可见结缔组织增生(见图5)。

qw7.jpg
a.肌层间隙空泡化;b. 间质水肿,有淤血;c. 血管周围有少量淋巴细胞浸润
图5 患病鸡卵泡病理组织学观察


3、血象观察

病鸡血象观察可见,淋巴细胞和嗜酸性粒细胞增多,可见破裂的异嗜性粒细胞(见图6)。

qw8.jpg
a.嗜酸性粒细胞;b.淋巴细胞;c.异嗜性粒细胞
图6 血涂片


4、AF ELISA检测

采用酶联免疫吸附测定(ELISA)方法检测家禽血清中AF,结果显示血清中AF浓度范围在25.40 ?g/kg至31.23 ?g/kg之间,根据世界卫生组织(WHO)的数据,人类食品和动物饲料中AF的最大允许量为10~20 ?g/kg,根据换算家禽血清中的AF中毒浓度大约为25.4~31.23 ?g/kg,严重超过安全阈值(见表1)。

表1 AFELISA检测

qw9.jpg

5、细菌分离鉴定

该分离菌在血平皿中形成边缘规则圆形的乳白色菌落,油镜下细菌为革兰氏阴性菌,菌落符合鸭源鸡杆菌的形态。基于16S rRNA基因序列以多杀性巴氏杆菌和副金黄色葡萄球菌为外群建立遗传进化树,发现了SDAU-GA1与其他鸭源鸡杆菌菌株及相关细菌种属的系统发育关系。结果显示,SDAU-GA1与C2-3-4、Yu-XX-HJ-4-SLG和Yu-XX-6-QG等菌株的亲缘关系较近,该分离株还与Actinobacillus salpingitidis CCUG 23139、Avibacterium paragallinarum HP105等其他种属的细菌相邻(见图7)。

qw10.jpg
图7 G.anatis血平皿生长状态及遗传进化树

三 讨论和结论

蛋鸡产蛋下降是产蛋鸡养殖过程中常见的问题,其病因复杂。2024年1月,山东金乡某蛋鸡场发生了产蛋量显著下降的现象。为解决这一问题,对病鸡进行了详细的剖检、组织病理学观察、AF ELISA检测以及细菌分离与鉴定。发现病鸡血液中AF含量显著超出安全阈值,与肝脏肿大、发黄等临床症状高度相关。病理组织学观察显示,肝脏发生了明显的空泡变性和肝细胞坏死,符合AF中毒的典型特征。AF作为强效肝毒素,直接损伤肝脏功能,进而影响蛋鸡的健康和生产性能。综合检测结果,诊断为蛋鸡AF中毒合并鸭源鸡杆菌感染,导致产蛋率大幅下降。

AF中毒和鸭源鸡杆菌感染各自对家禽健康造成严重威胁,两者可能通过不同的致病机制共同加重家禽的病情,具有潜在的协同作用。AF是一种由黄曲霉菌产生的次生代谢物,进入家禽体内后通过细胞色素P450酶代谢生成高度反应性的代谢物,这些代谢物可以与细胞内的生物大分子(如DNA、脂质和蛋白质)发生反应,导致脂质过氧化、细胞膜损伤及细胞器功能障碍,从而引发细胞损伤和功能紊乱。长期接触AF不仅影响家禽的免疫功能,还会导致其生殖系统的异常,如激素水平失调、卵巢功能抑制、受精率下降等,从而影响繁殖性能。鸭源鸡杆菌作为一种条件致病菌,其感染常发生在宿主免疫力下降时。随着抗生素的广泛使用,鸭源鸡杆菌对多种抗生素的耐药性也在不断提高,这使得传统的抗生素治疗效果逐渐减弱,进一步增加了感染控制的难度。

尽管本研究中未能直接证实AF中毒与鸭源鸡杆菌感染之间的明确协同效应,但可以推测,AF通过其免疫抑制作用可能为鸭源鸡杆菌的感染提供了有利条件。在AF的长期作用下,家禽的免疫功能受损,特别是淋巴细胞活性降低和抗体产生减少,使得机体对病原体的抵抗能力显著下降。在此免疫抑制的背景下,鸭源鸡杆菌的侵袭和感染风险增加,并通过GtxA毒素进一步破坏细胞和组织,导致更严重的临床症状。这种相互作用不仅损害了蛋鸡的健康状态,还可能导致更高的死亡率和更差的生产性能。

因此,AF中毒与鸭源鸡杆菌感染可能的协同效应对家禽养殖业构成了重大挑战。在防控措施方面,除了定期检测和减少饲料中AF的含量外,还应采取综合性措施,包括改善养殖环境、优化饲料管理、减少抗生素的使用,以及加强生物安全和疾病监测等。综合性防控策略将有助于减轻AF中毒及其可能带来的鸭源鸡杆菌感染风险,从而提高家禽的健康状况和生产效益。

来源:中国禽业导刊
作者:李睿琪1,孟凡润1,崔格格1,郎 枫2,成子强1*
作者单位:1.山东农业大学动物医学院;2.青岛易邦生物工程有限公司




回复

使用道具 举报

您需要登录后才可以回帖 登录 | 立即注册

本版积分规则

手机版|Archiver|鸡病专业网 ( 豫ICP备11024133号-2 )

GMT+8, 2025-12-17 14:27 , Processed in 0.124454 second(s), 29 queries .

快速回复 返回顶部 返回列表